Braces • Invisalign • Advanced Orthodontic Care
Creating Confident Smiles for Life
Personalized orthodontic care for children, teens, and adults—all delivered with precision, compassion, and a commitment to your best result.
Orthodontic Care Built Around You
Consistent care designed to give you the best possible result—every time.





Always the Same Doctor
At Amesbury Orthodontics, you’ll see Dr. Beaudoin at every visit. No rotating providers. No handoffs. Just consistent, personalized care from start to finish.
Efficient, On-Schedule Treatment
We respect your time. Our treatment plans are designed to be efficient, focused, and carefully monitored to avoid unnecessary delays.
Care for Children, Teens & Adults
From early orthodontic evaluations to clear and comfortable adult treatment options, we tailor care to your age, lifestyle, and goals.
Advanced Technology, Clear Explanations
We use modern digital imaging and 3-D technology to plan your treatment with precision—and we take the time to explain everything, so you feel confident every step of the way.
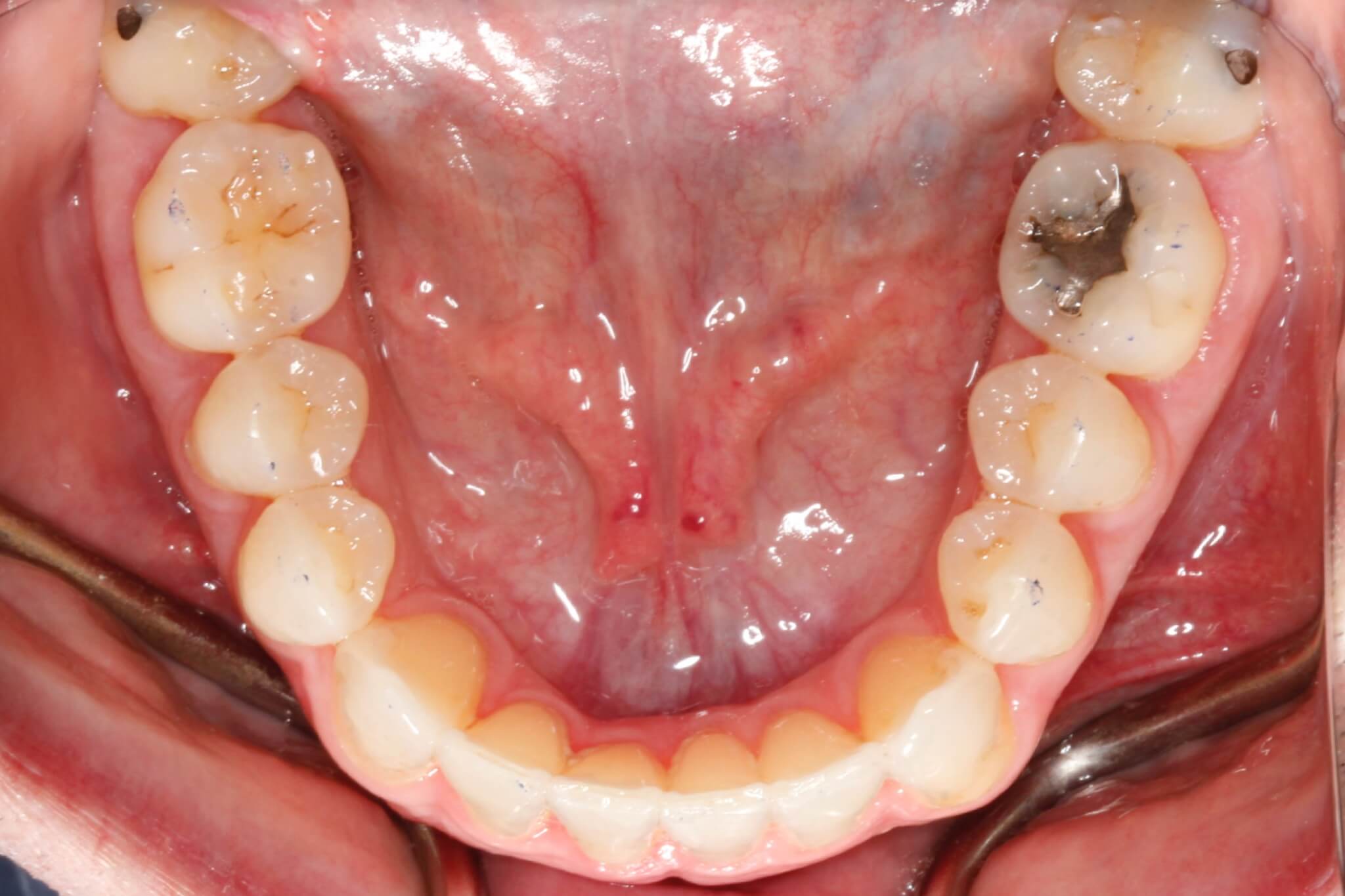
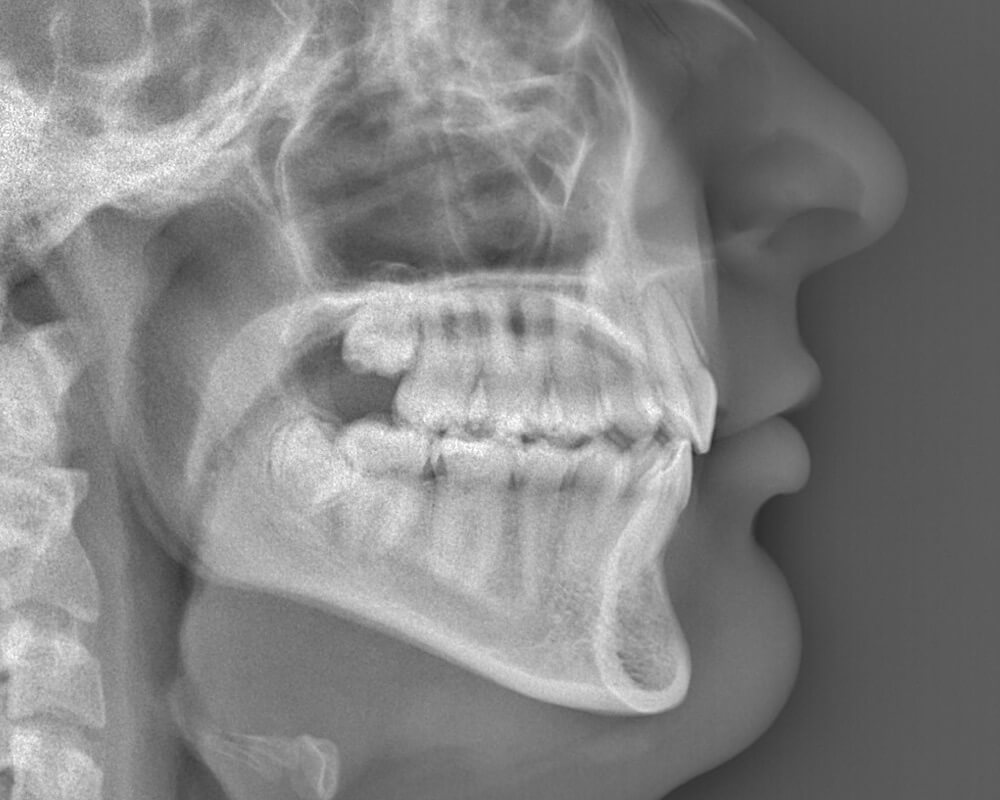
Real Clients. Real Results
Please click the button that corresponds to the case you want to view
- Invasalign
- Dental Crowding
- Deepbites
- Excess Overjet
- Maxillary Expansion/Crossbite Correction
- Smile
- Bite Corrections
- Tooth Impactions
- Missing Teeth

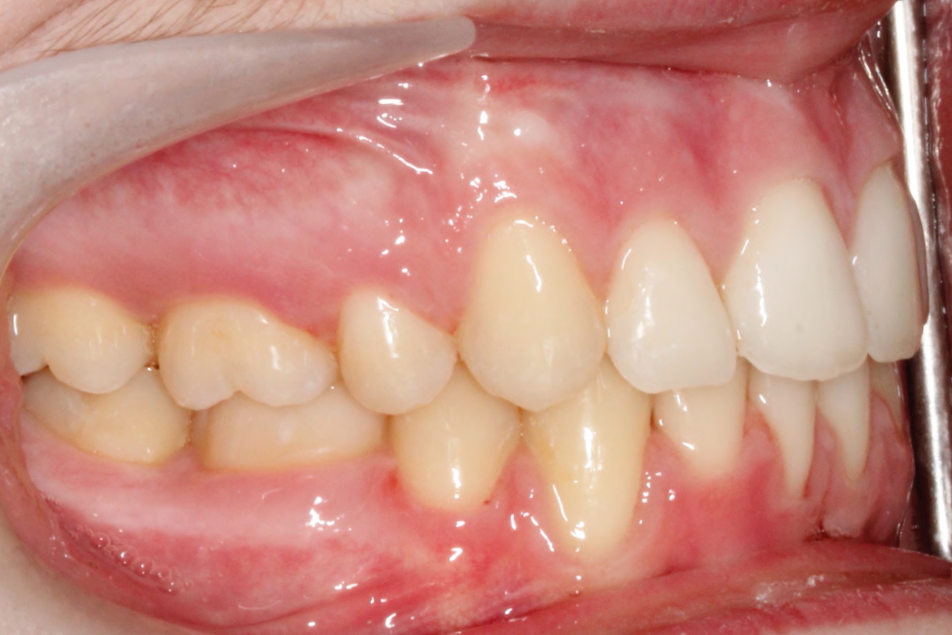
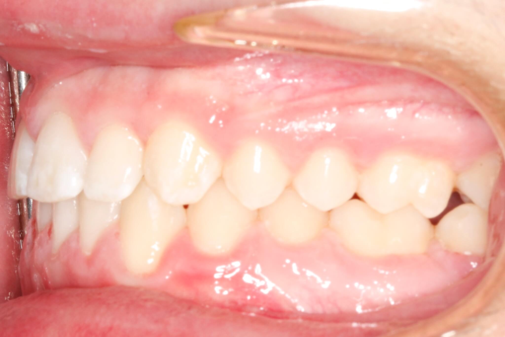
Invisalign
An adult patient with an underbite, he was told he “wasn’t a candidate” for Invisalign. We can treat ANY case with Invisalign or braces. With the current technology and our clinical experience, every case can be an Invisalign case!

Invisalign
An adult patient with an underbite, he was told he “wasn’t a candidate” for Invisalign. We can treat ANY case with Invisalign or braces. With the current technology and our clinical experience, every case can be an Invisalign case!

Invisalign
An adult patient with an underbite, he was told he “wasn’t a candidate” for Invisalign. We can treat ANY case with Invisalign or braces. With the current technology and our clinical experience, every case can be an Invisalign case!

Invisalign
An adult patient with an underbite, he was told he “wasn’t a candidate” for Invisalign. We can treat ANY case with Invisalign or braces. With the current technology and our clinical experience, every case can be an Invisalign case!

Invisalign

Invisalign

Invisalign

Invisalign

Invisalign

Invisalign

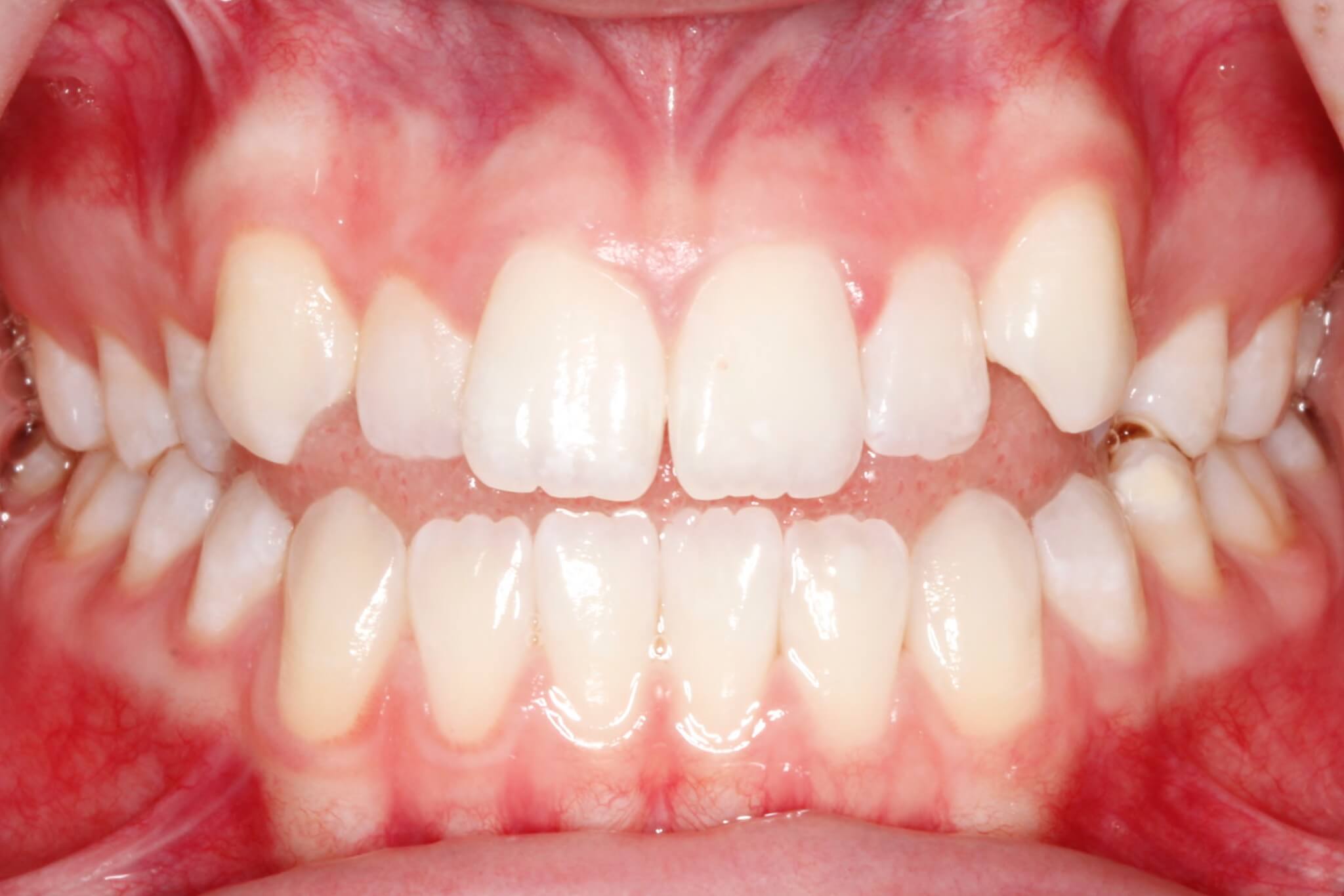
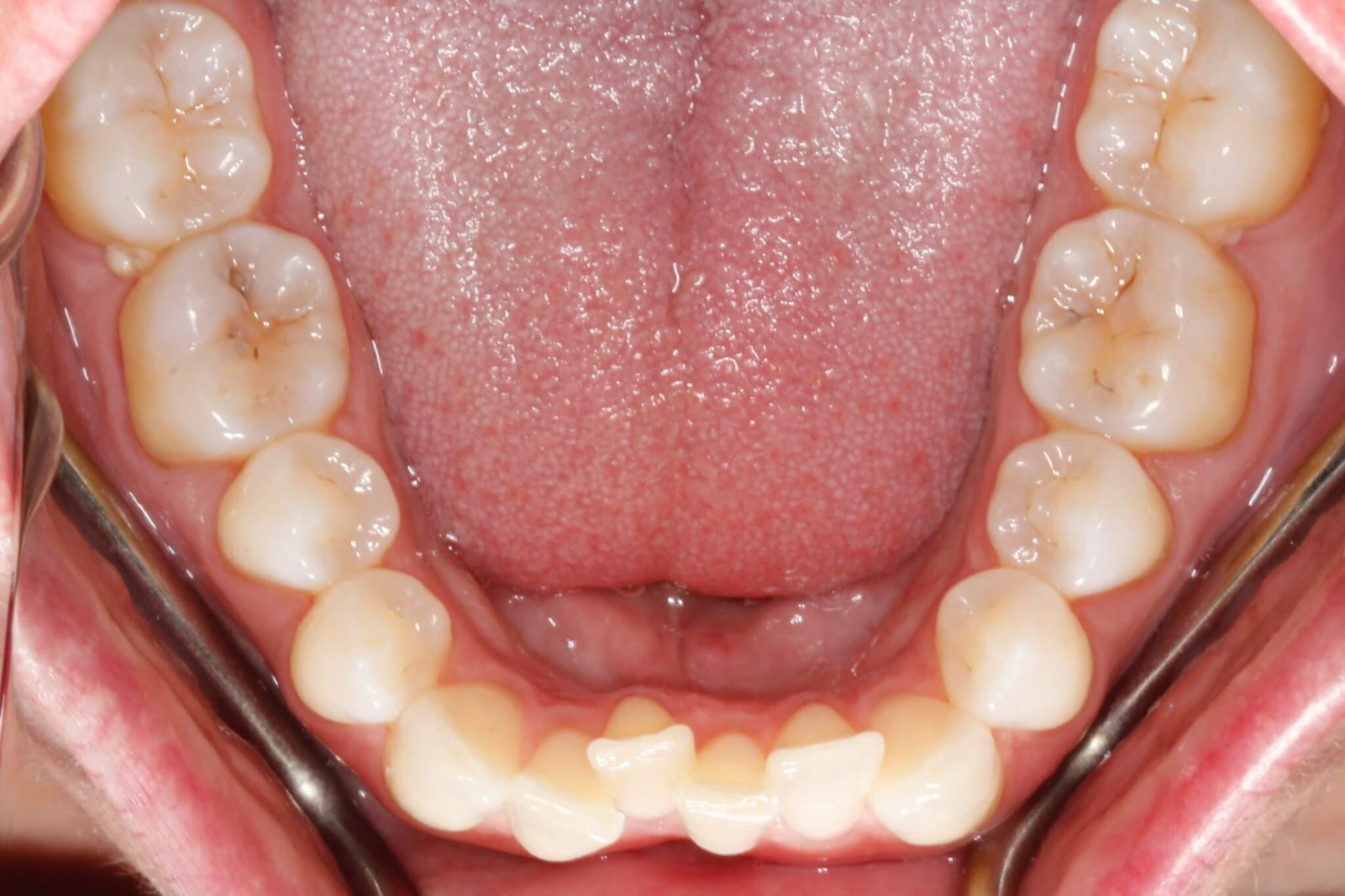
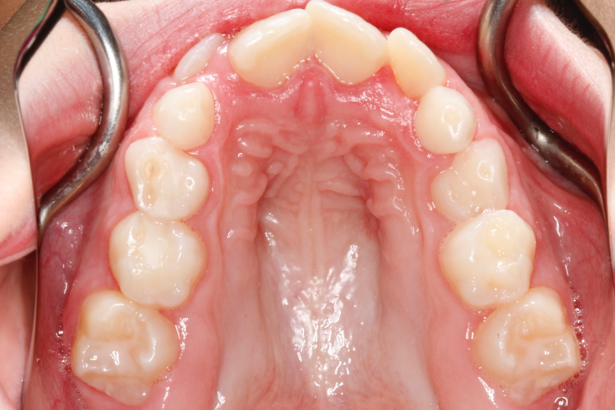
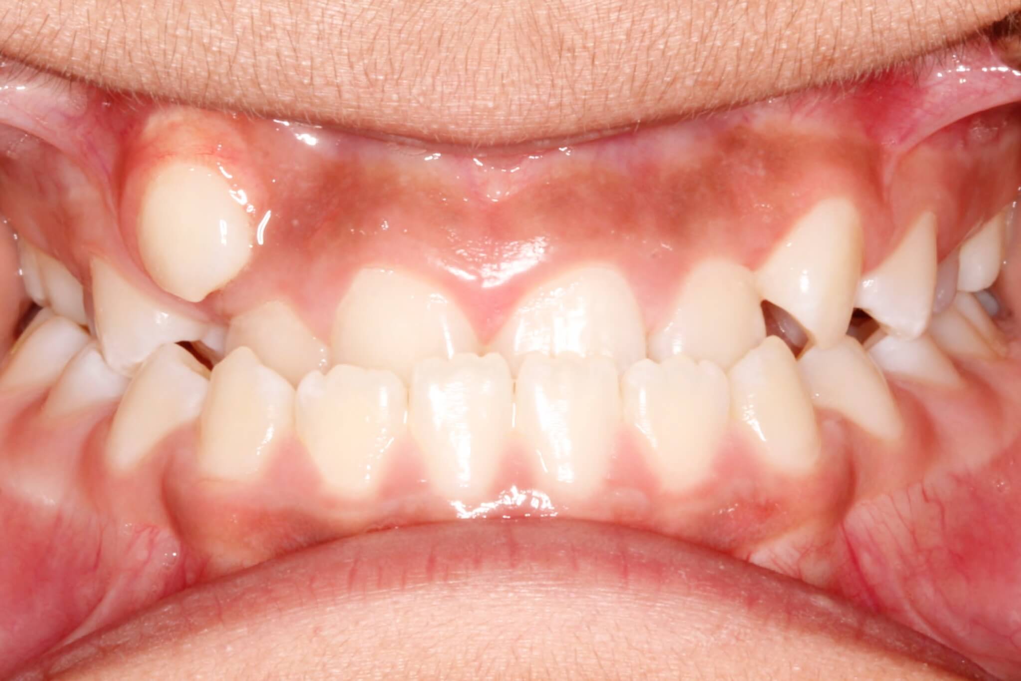
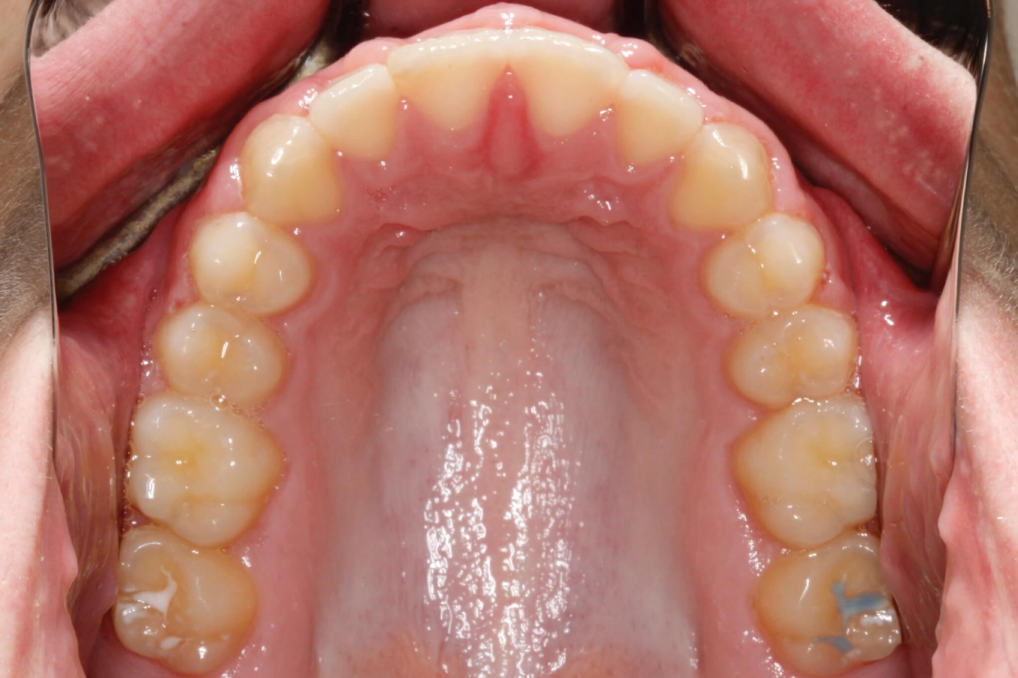
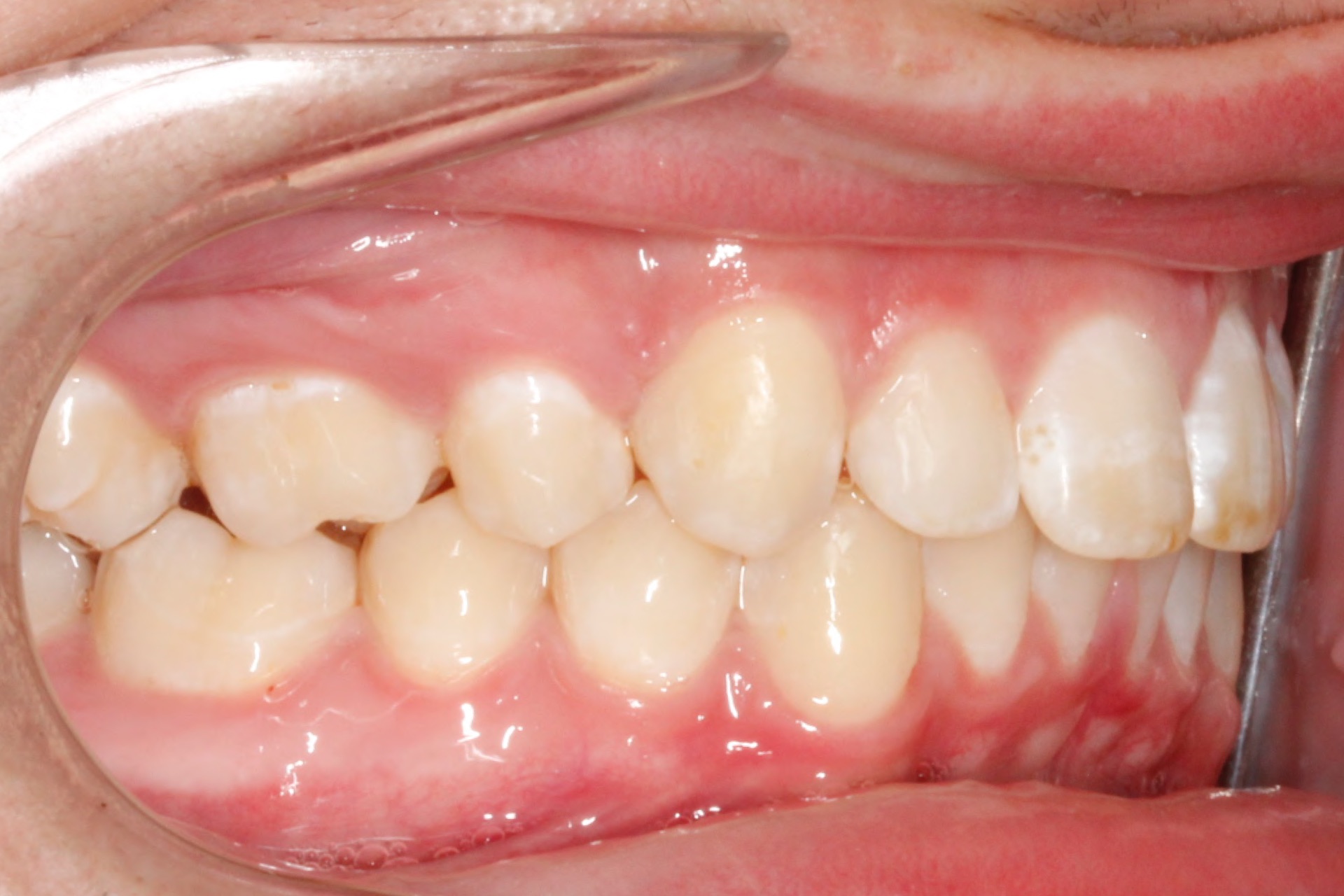
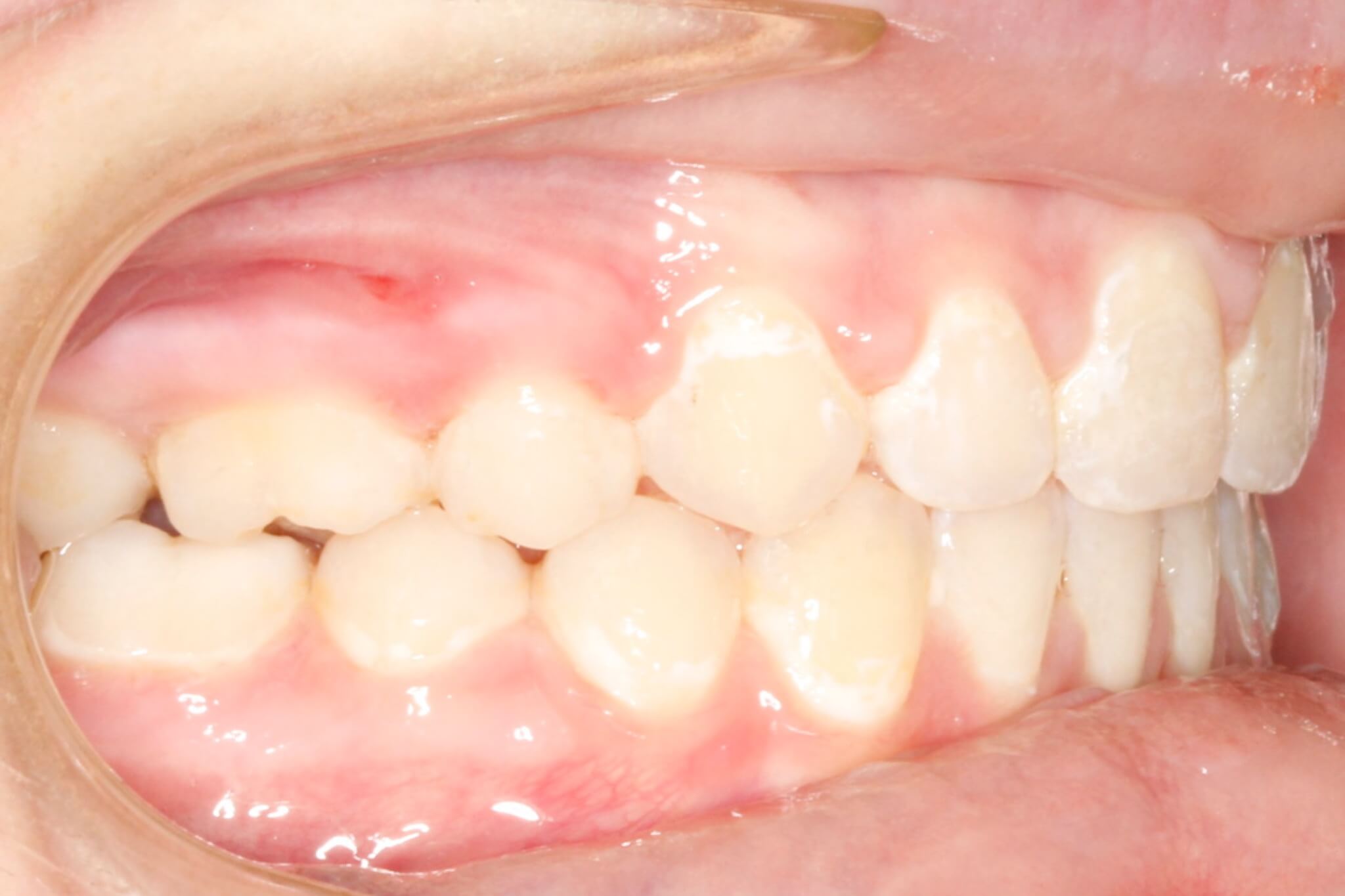
Dental Crowding
Treatment time: 13 months, Invisalign, non-extraction

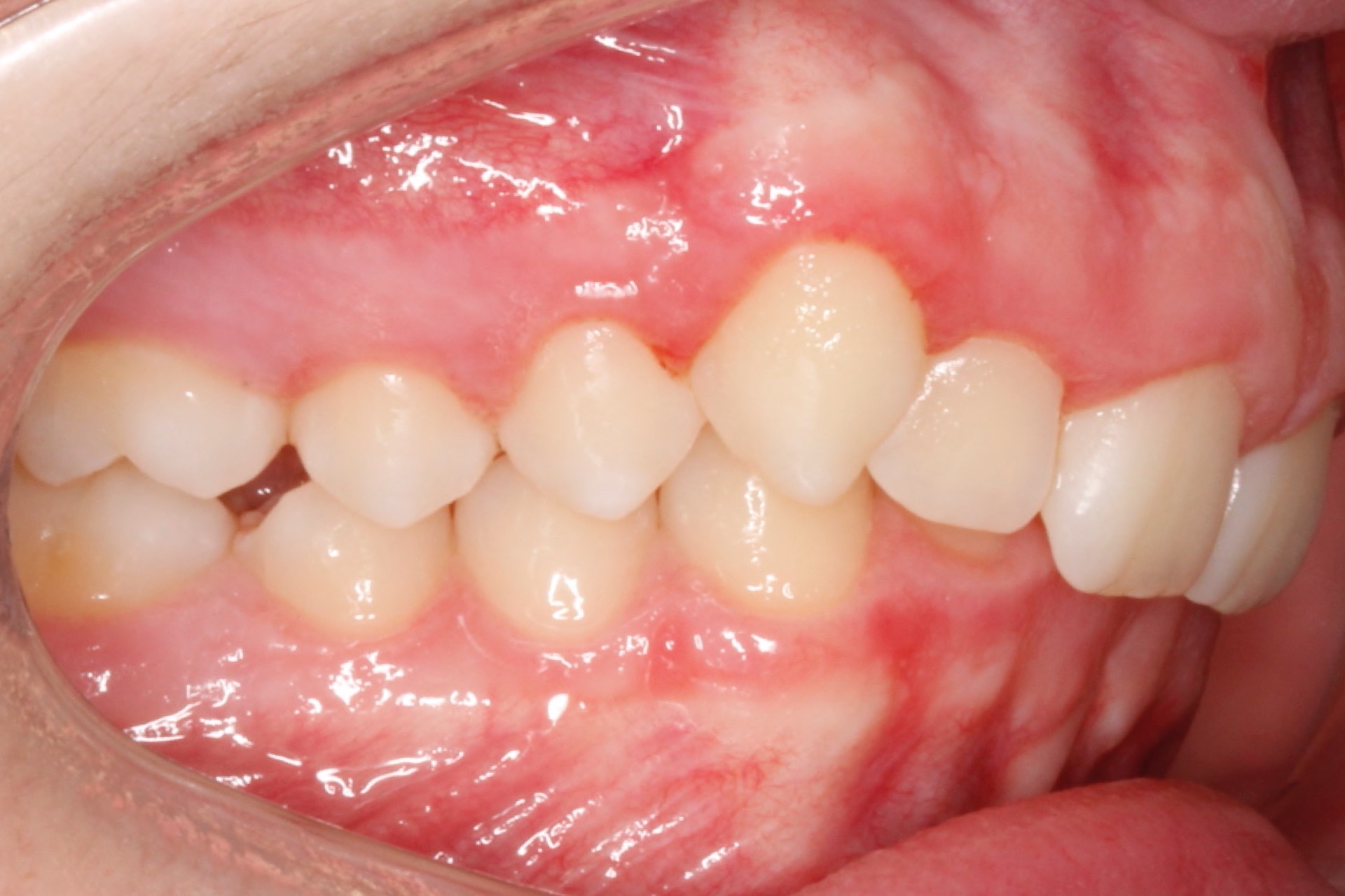
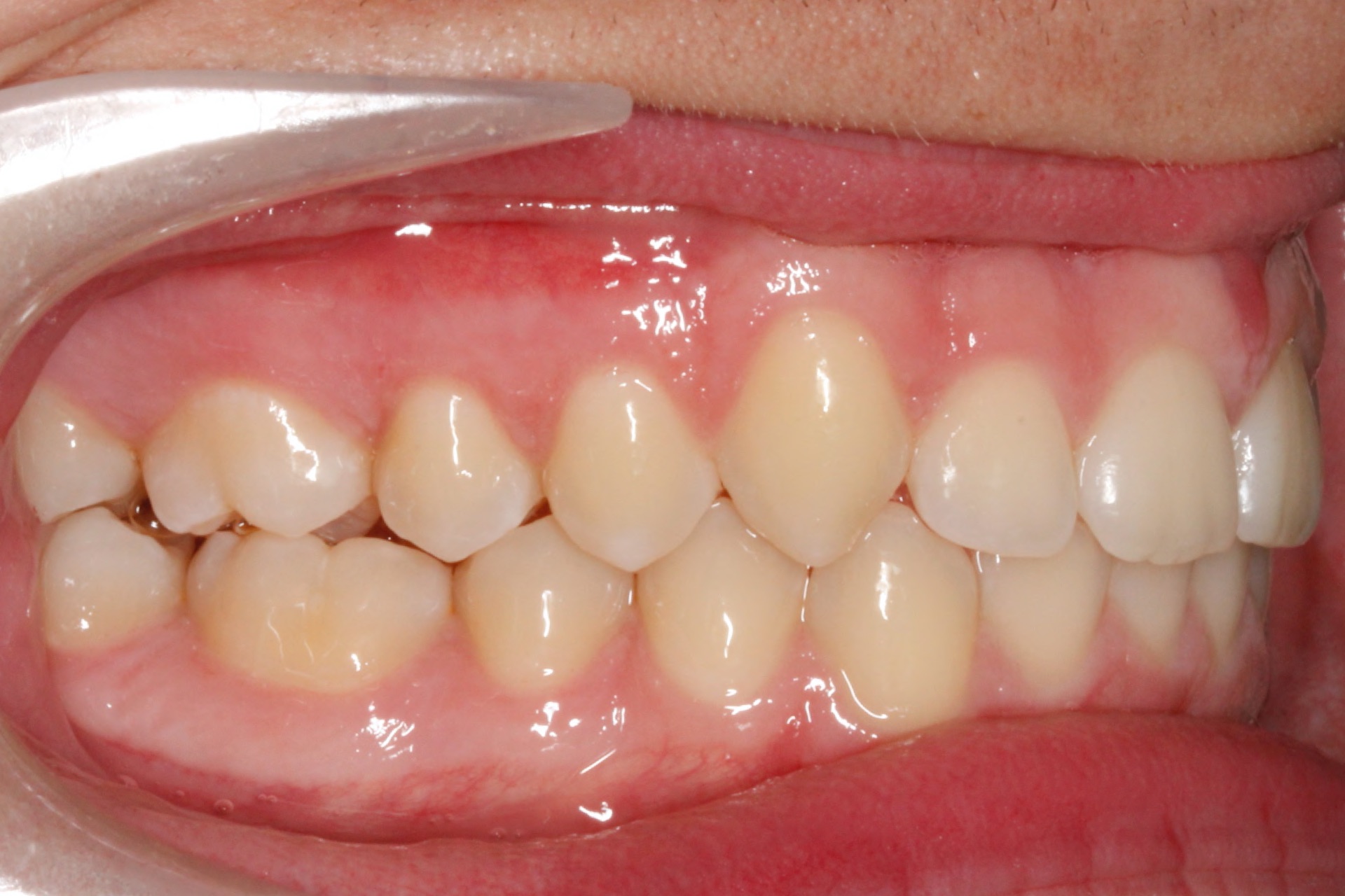
Dental Crowding
Treatment time: 26 months, Braces, non-extraction

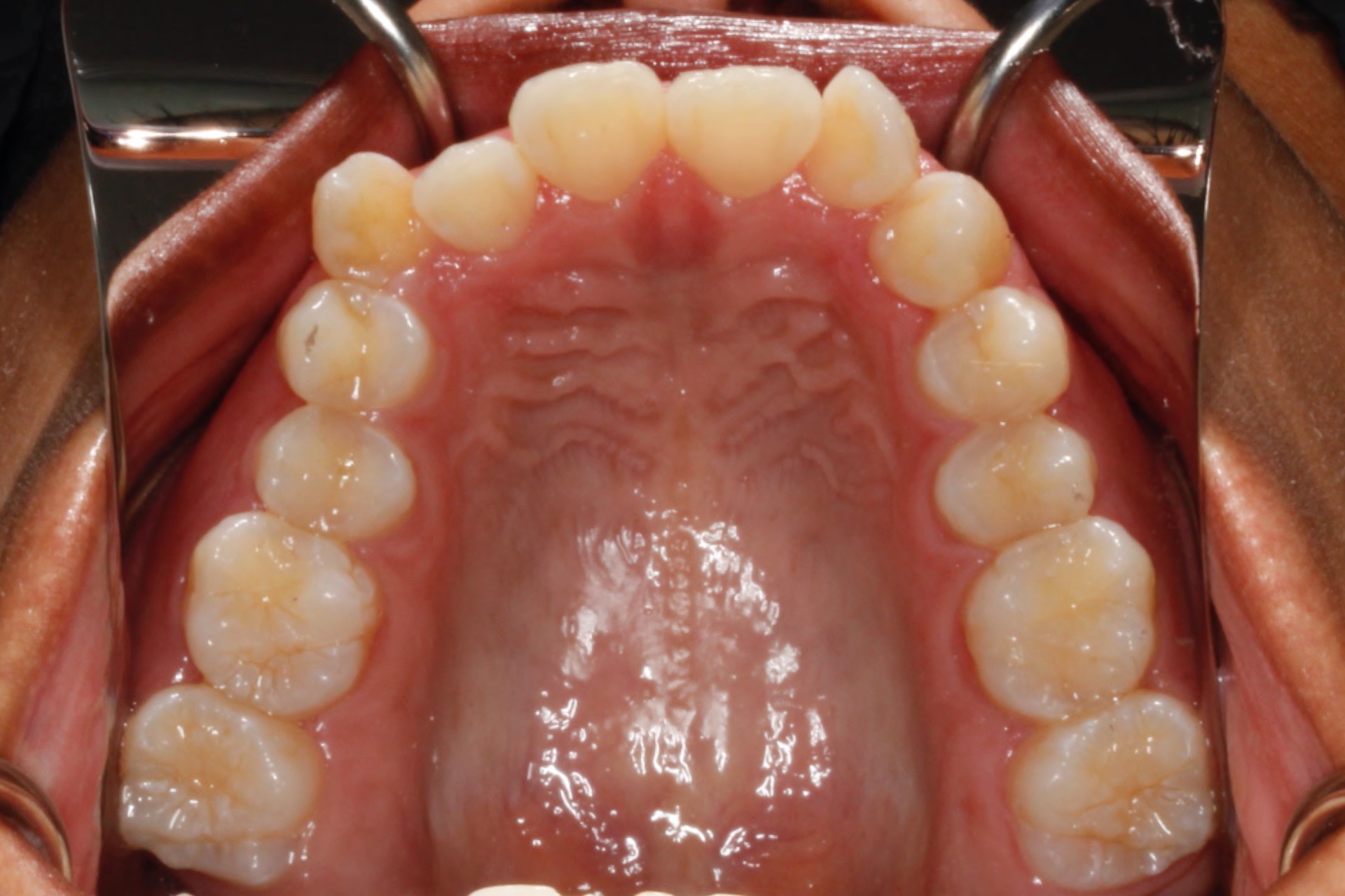
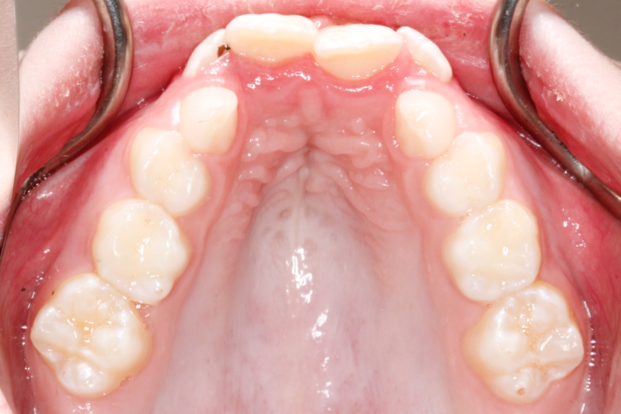
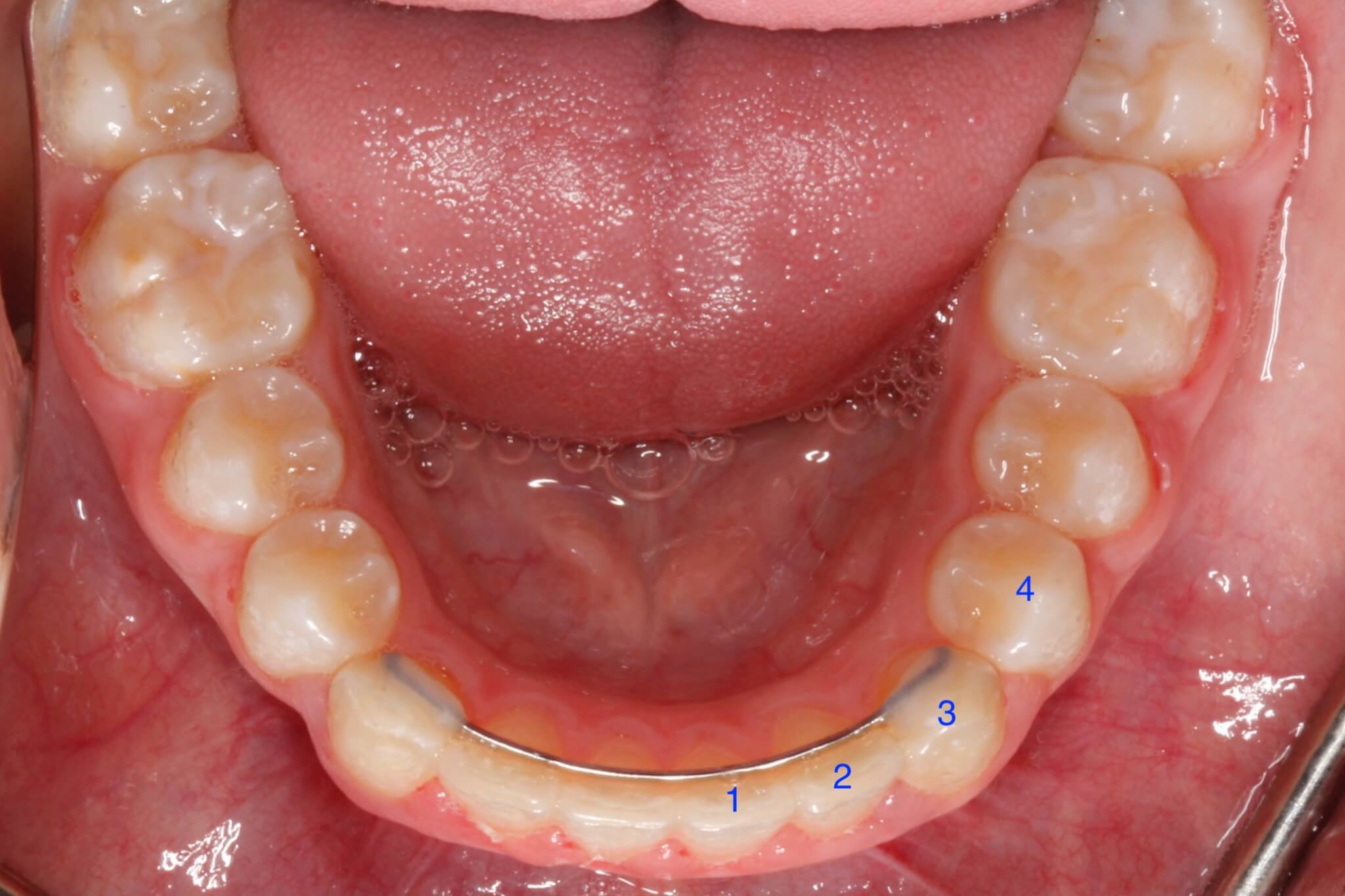
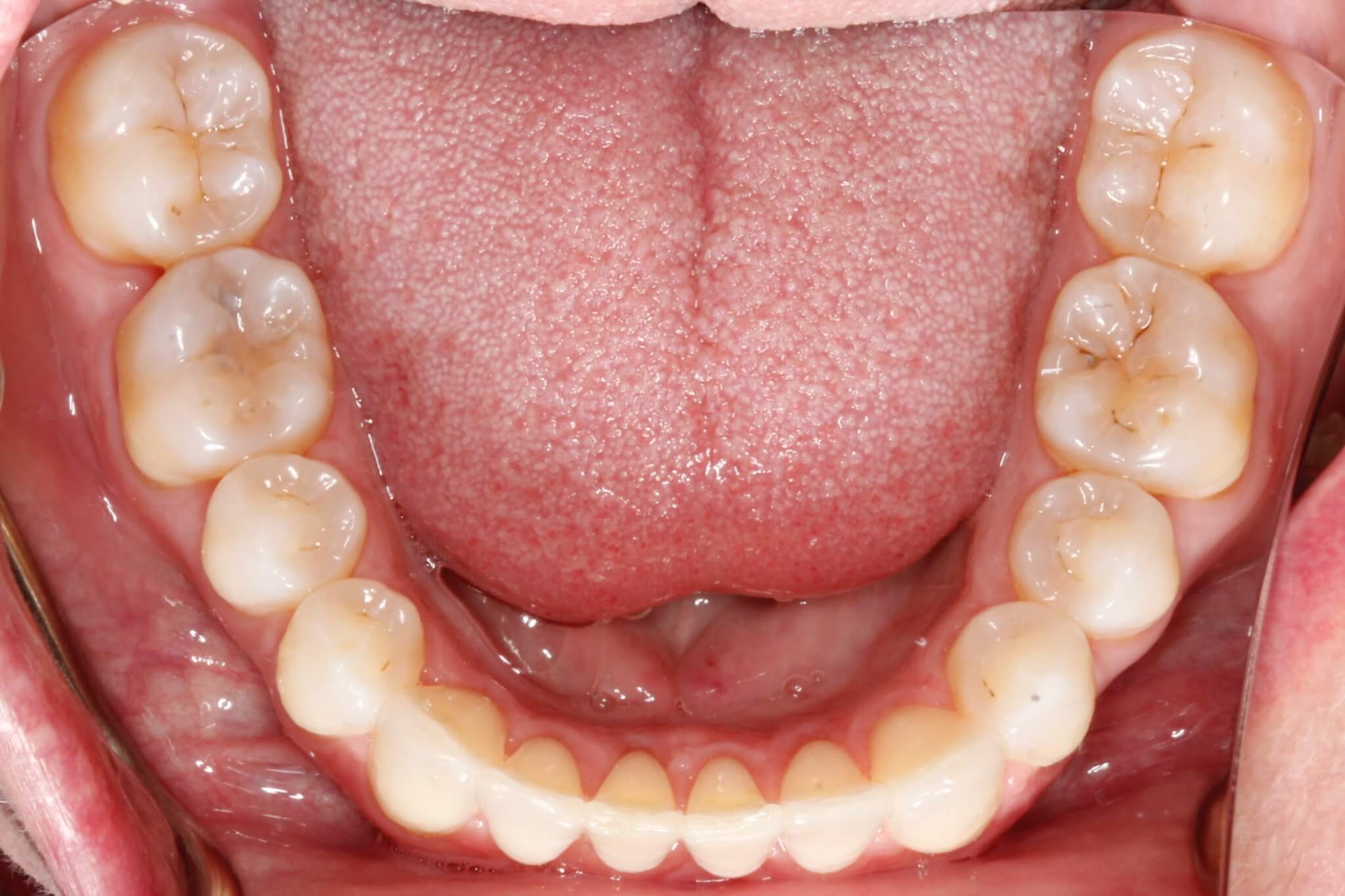
Dental Crowding
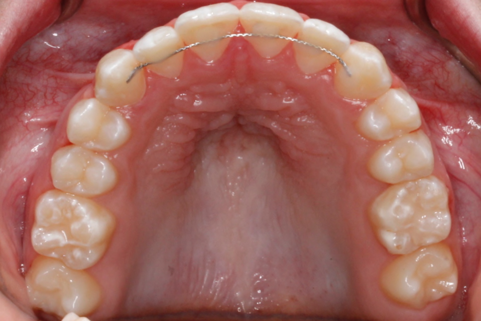
Non-extraction with fixed retainer

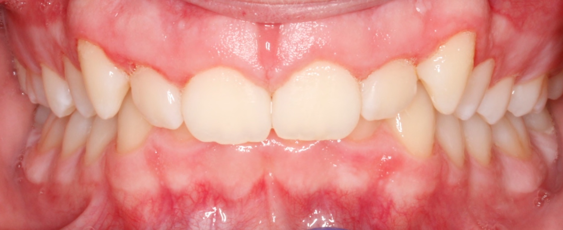
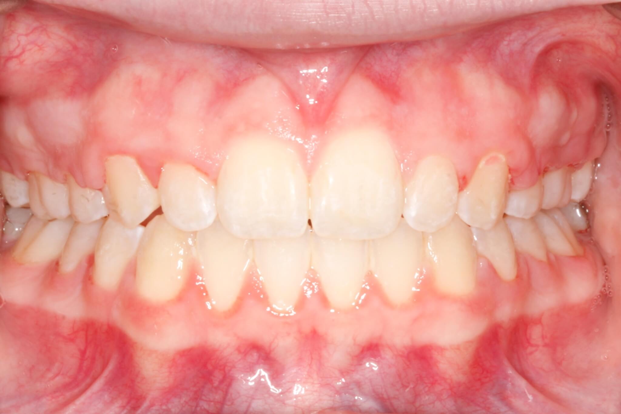
Dental Crowding

Dental Crowding

Deepbites
A similar deepbite case, treated with Invisalign

Excess Overjet

Excess Overjet

Excess Overjet

Excess Overjet

Excess Overjet


Crossbite Correction
Treatment time: 14 months

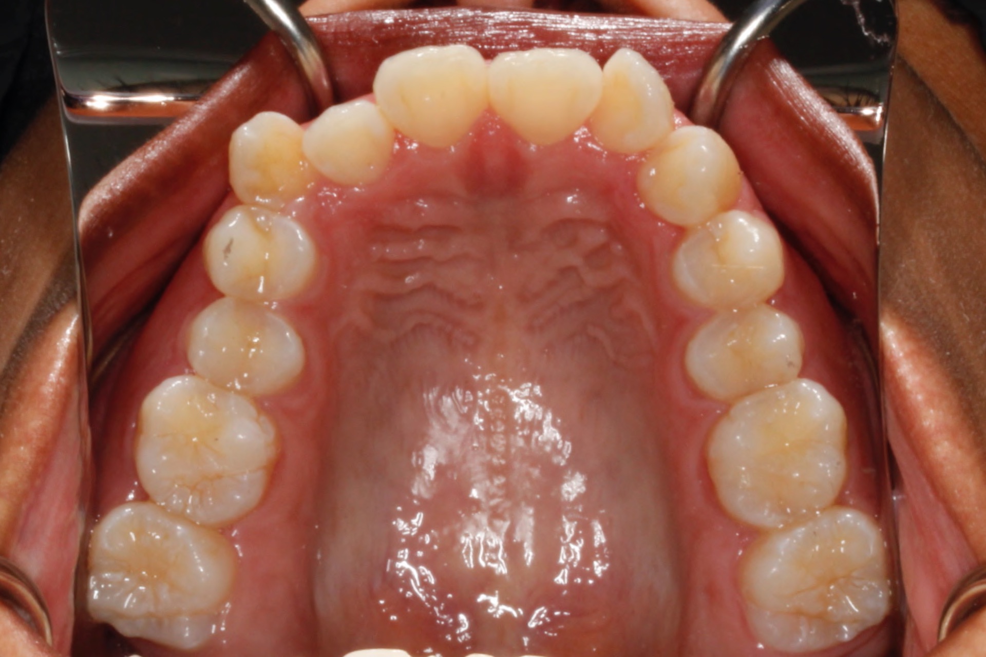
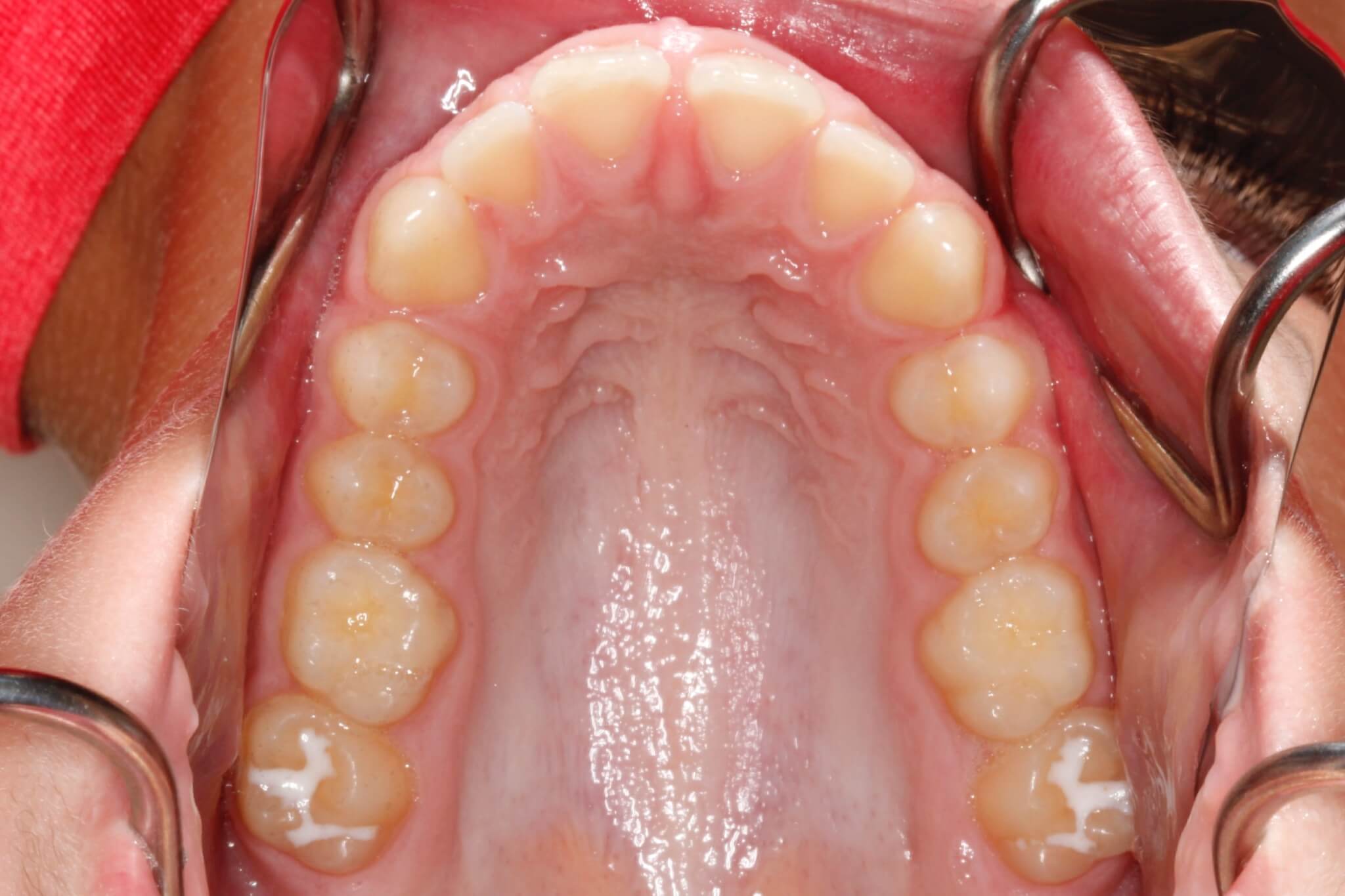
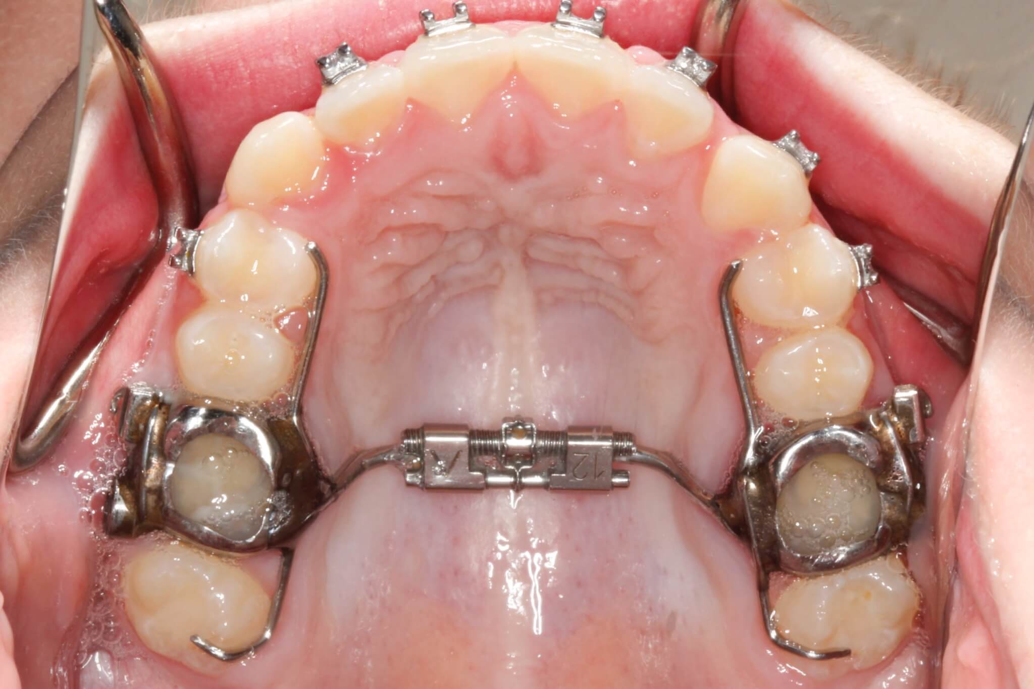
Maxillary Expansion

Maxillary Expansion

Maxillary Expansion

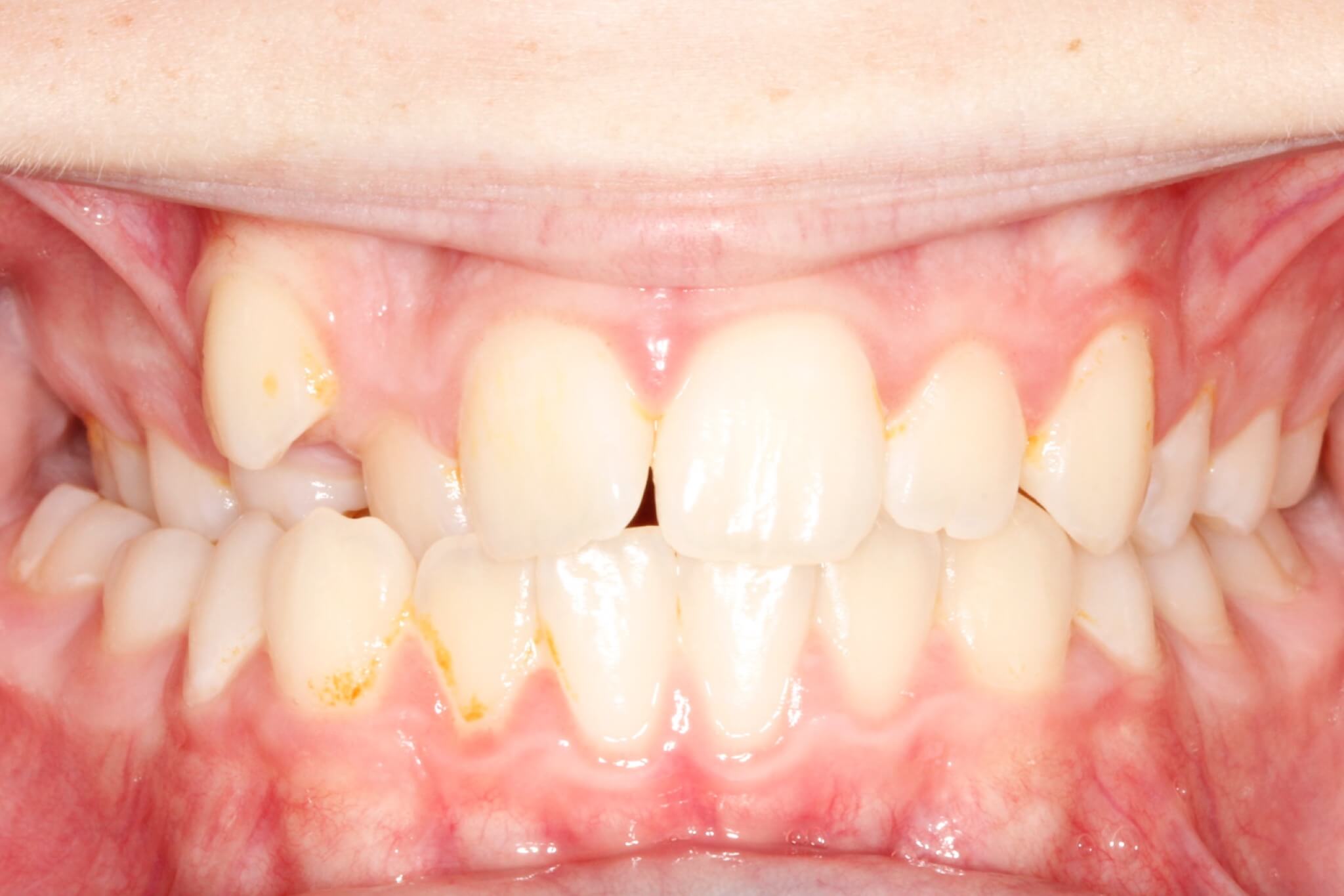
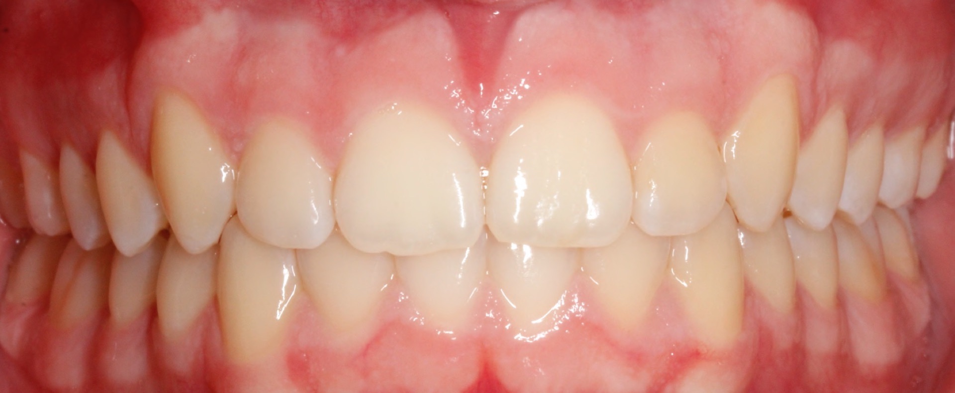
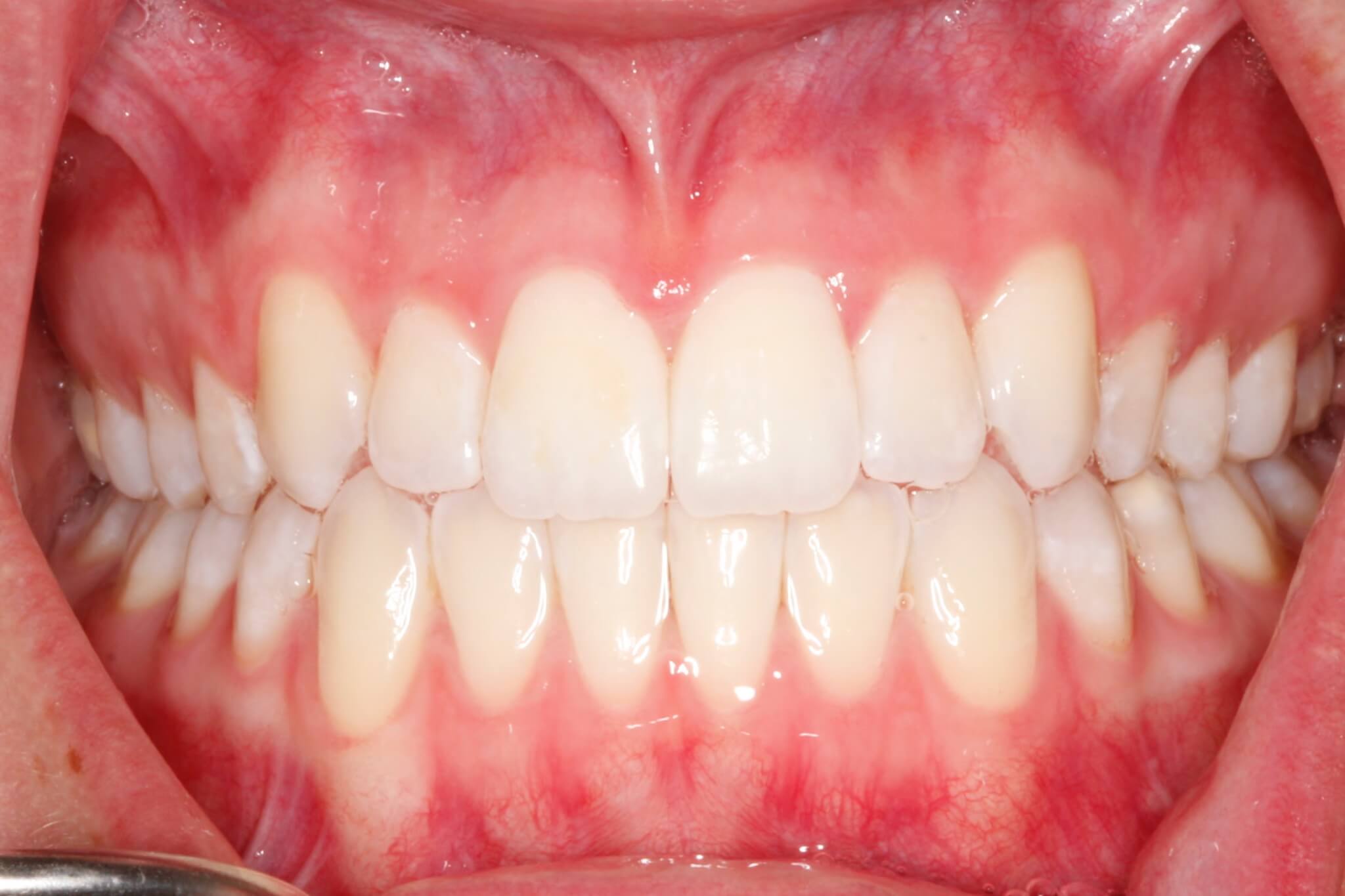
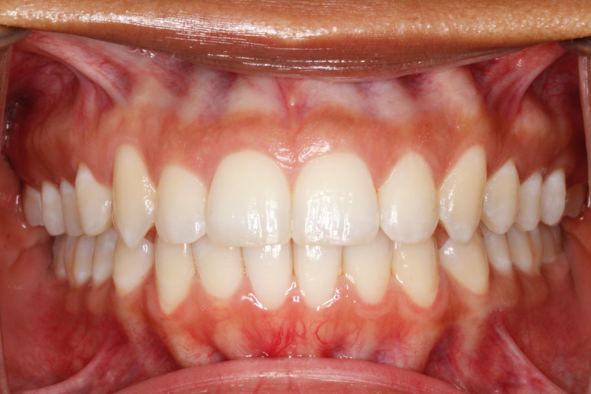
Smile

Smile

Smile

Smile

Smile

Smile

Smile

Smile

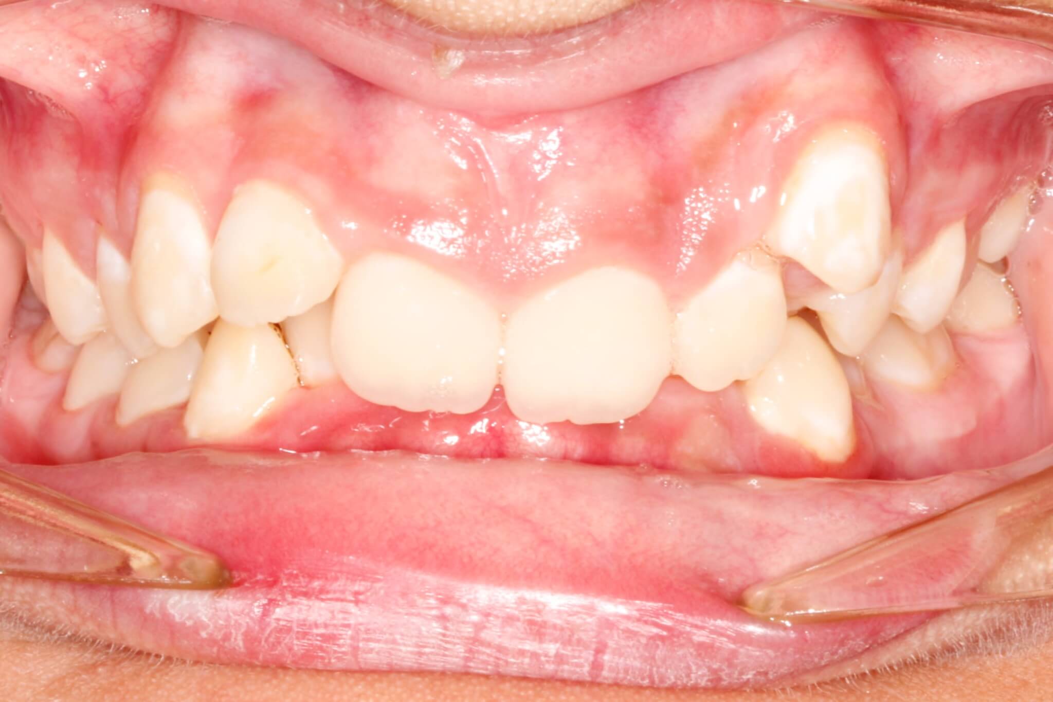
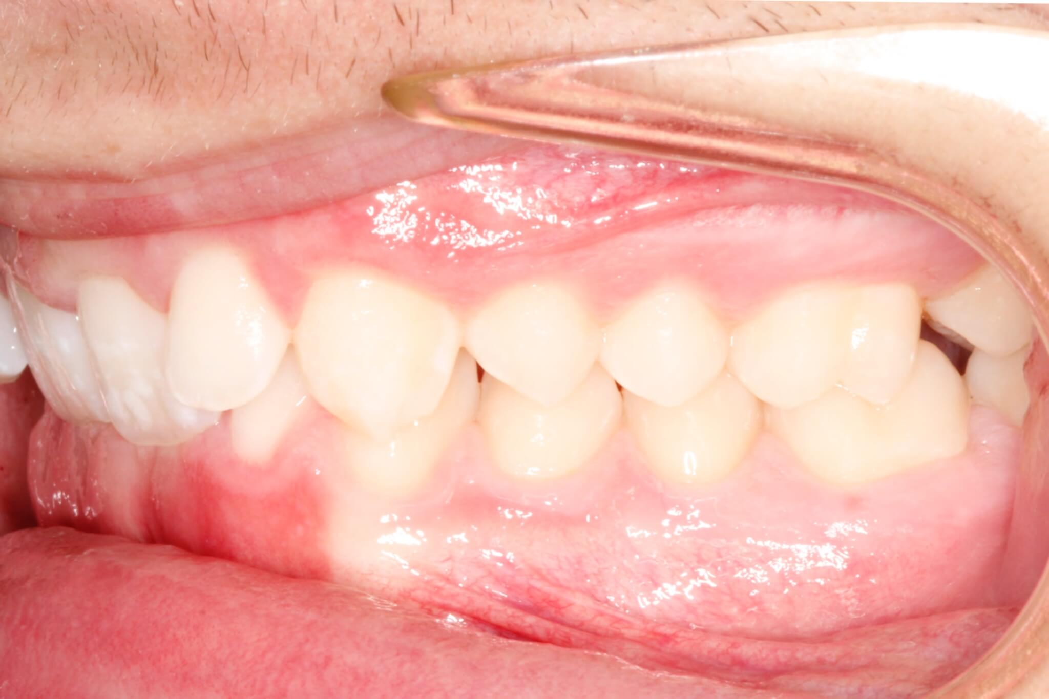
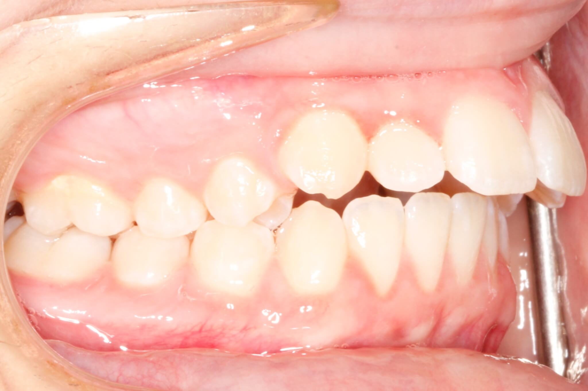
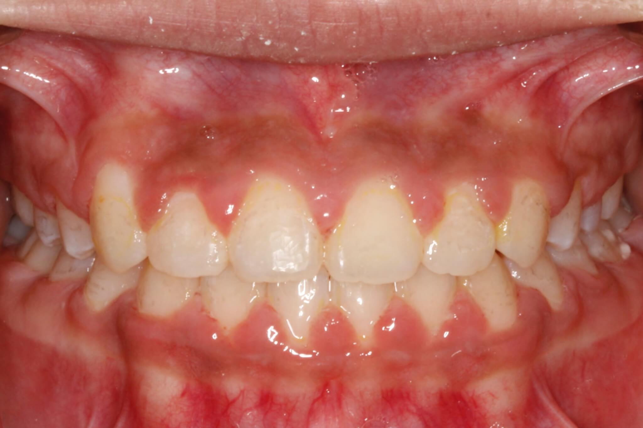
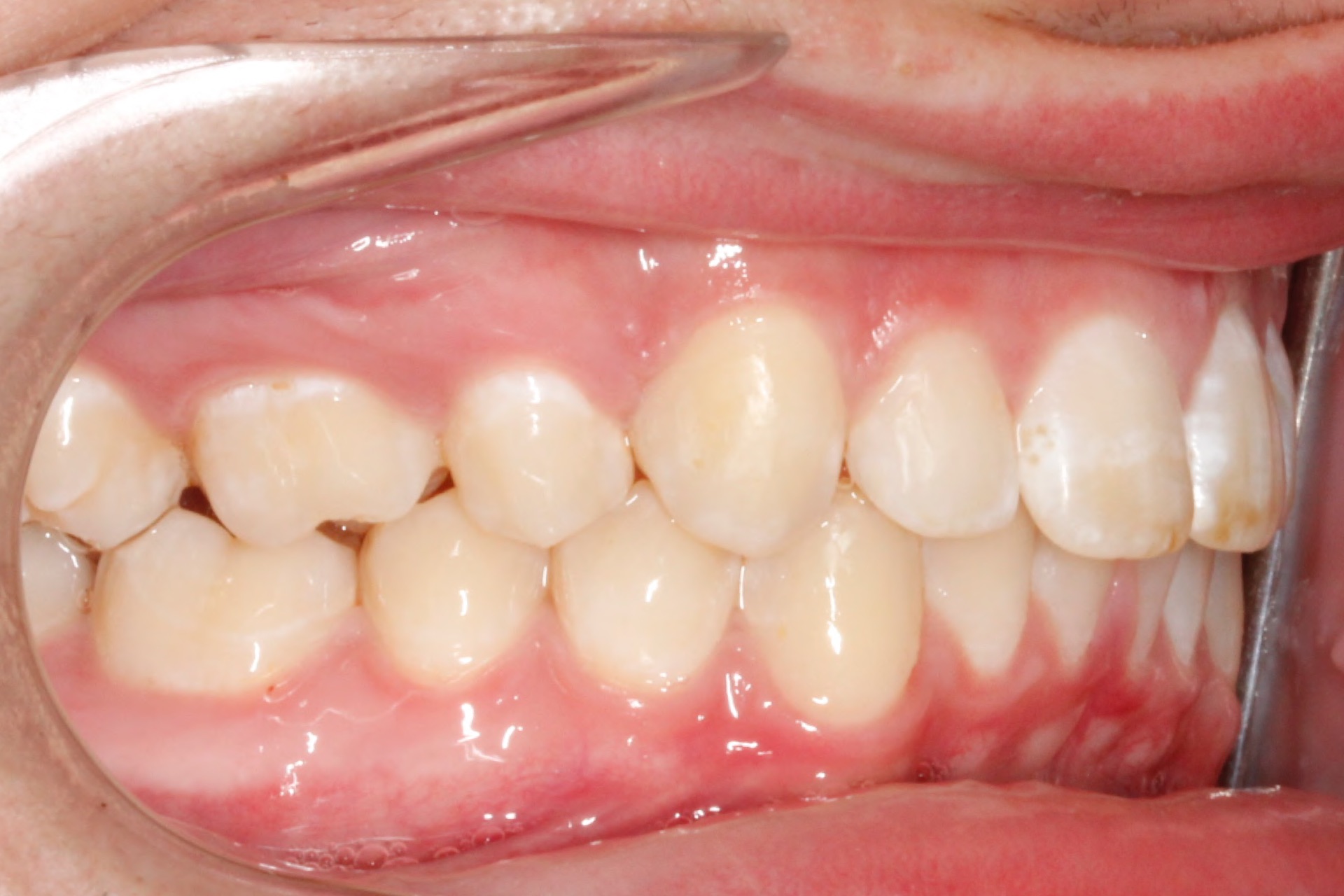
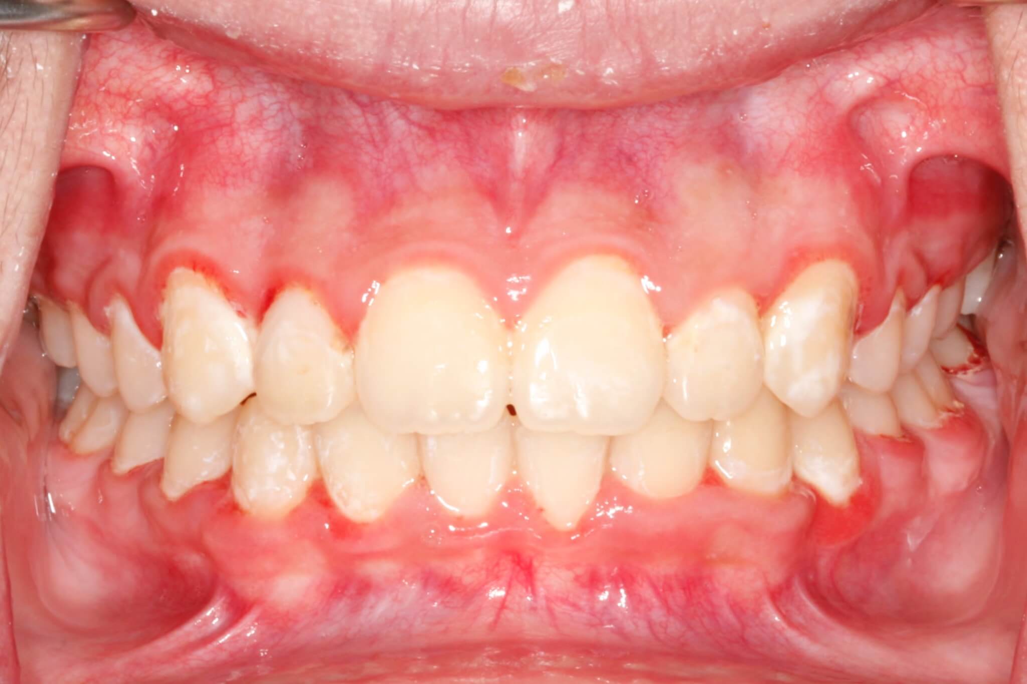
Bite Correction
The patient's upper teeth were shifted a whole tooth forward relative to their lower counterparts. Corrected with braces in 16 months

Bite Correction
Underbite treatment with braces: 4 months into treatment, no facemask or surgery

Bite Correction
Underbite treatment with braces: 25 months treatment time

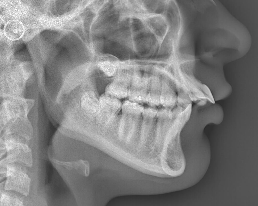
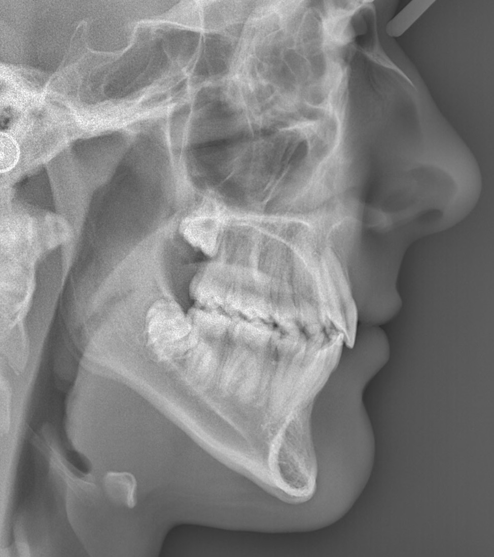
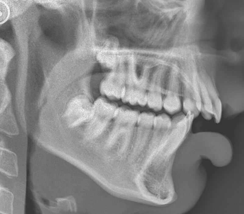
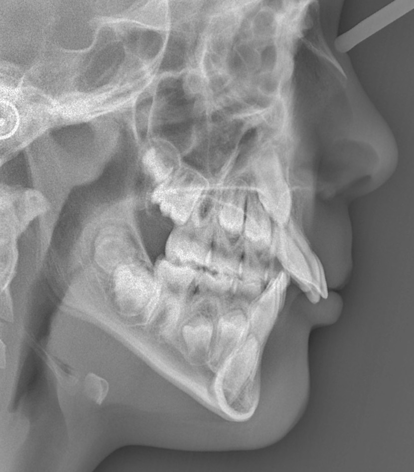
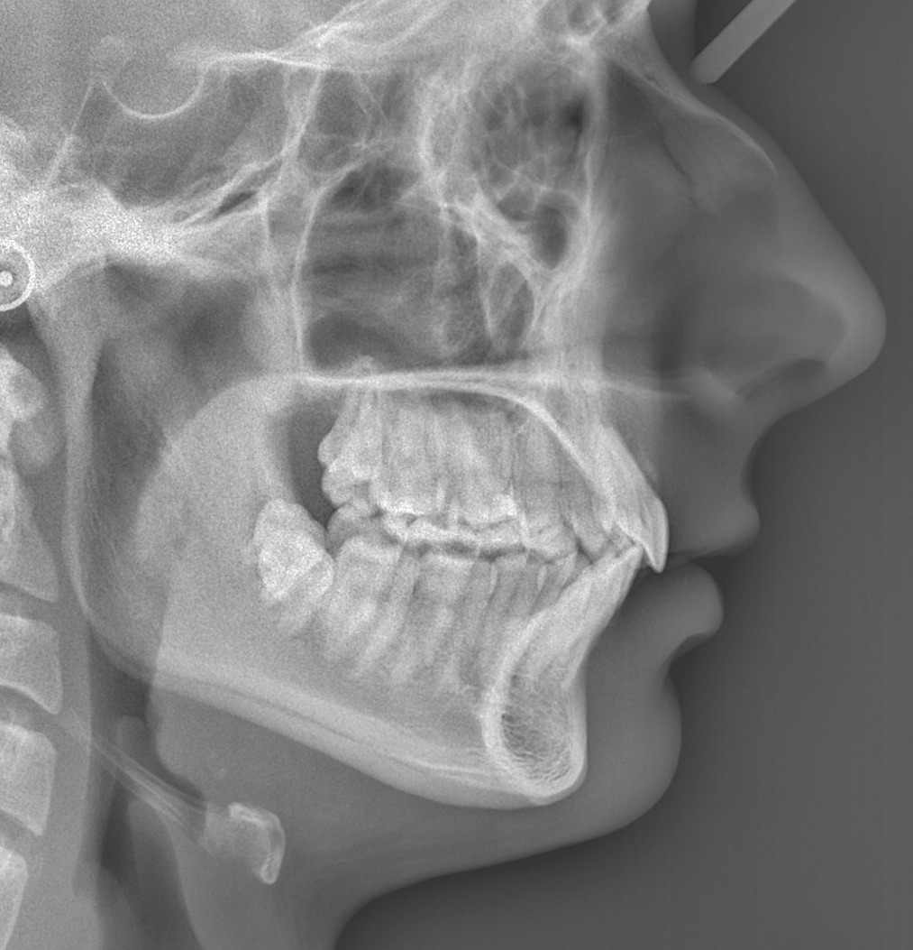
Profile Improvements
It’s important to not only improve the appearance of the teeth but also to pay attention to the effects the teeth may have on the patient’s lip form. Notice changes in the lip form with correction of this patient’s dental protrusion. Treatment time: 25 months.

Profile Improvements
This case showcases the magic of growing patients and correct application of functional appliances. Herbst appliance in place 1 year after placement. Pre-treatment notice the 1cm space between the upper and lower incisors.

Profile Improvements

Profile Improvements

Profile Improvements

Profile Improvements

Profile Improvements

Profile Improvements

Profile Improvements

Profile Improvements

Profile Improvements

Profile Improvements

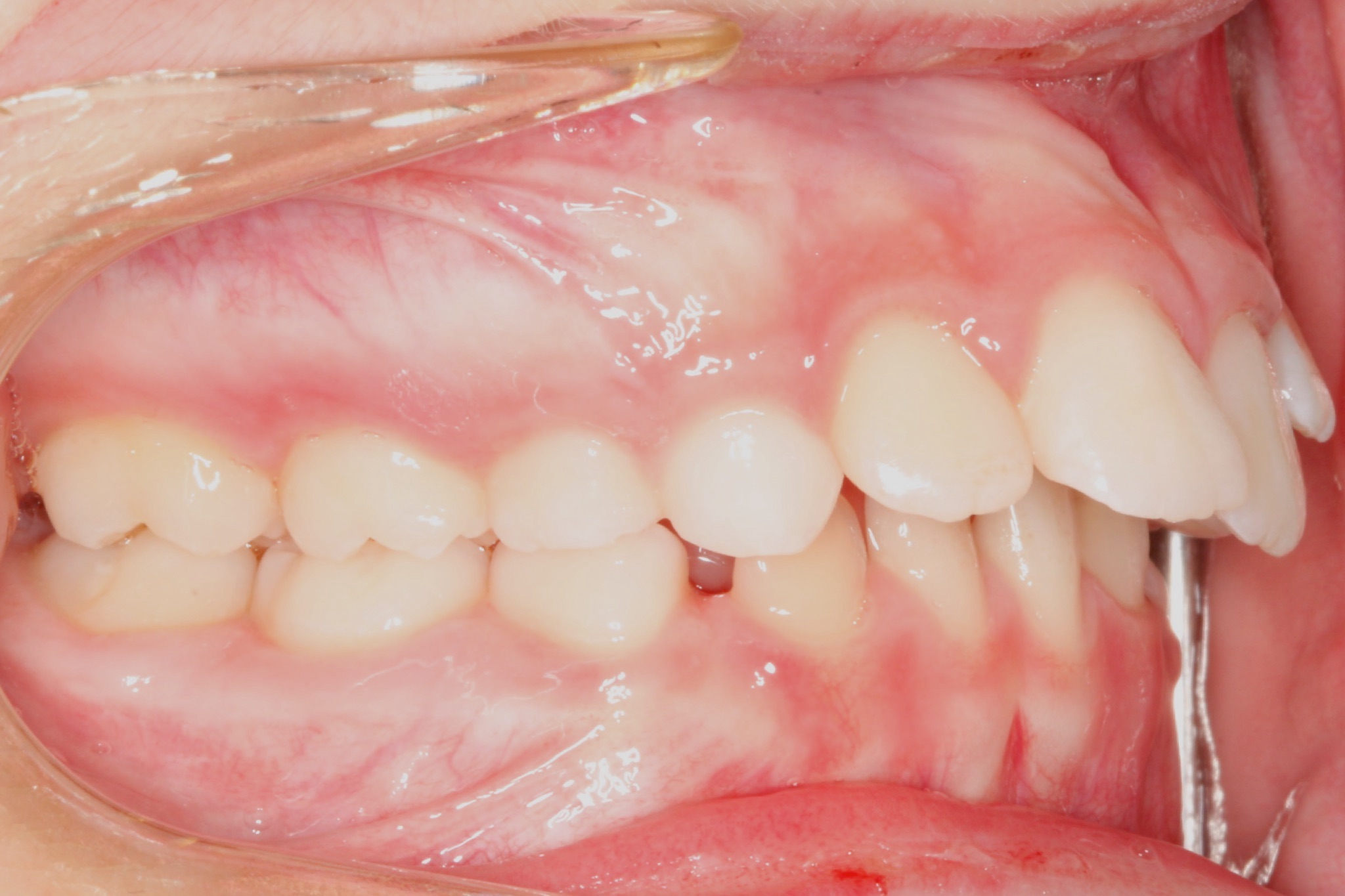
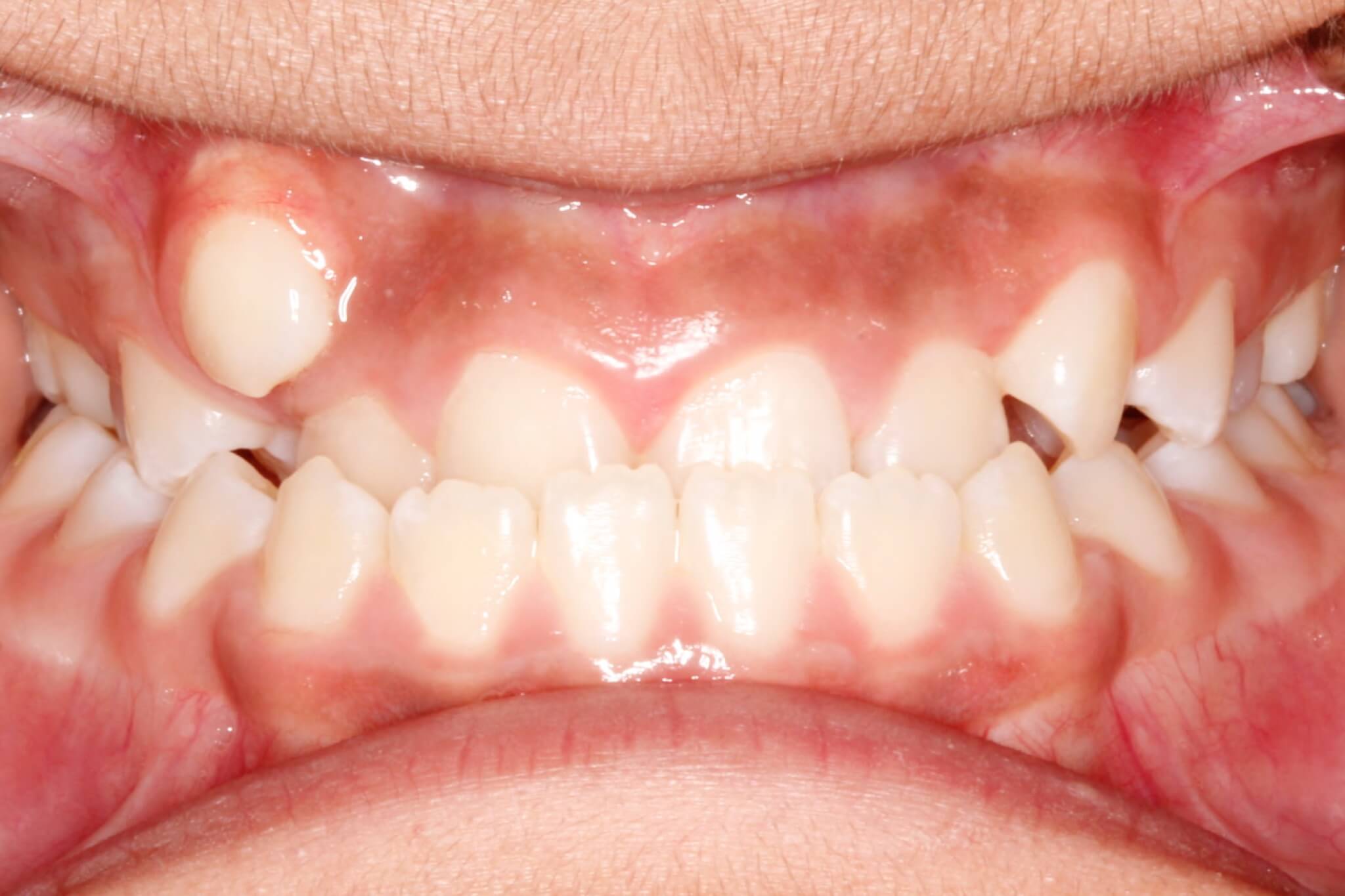
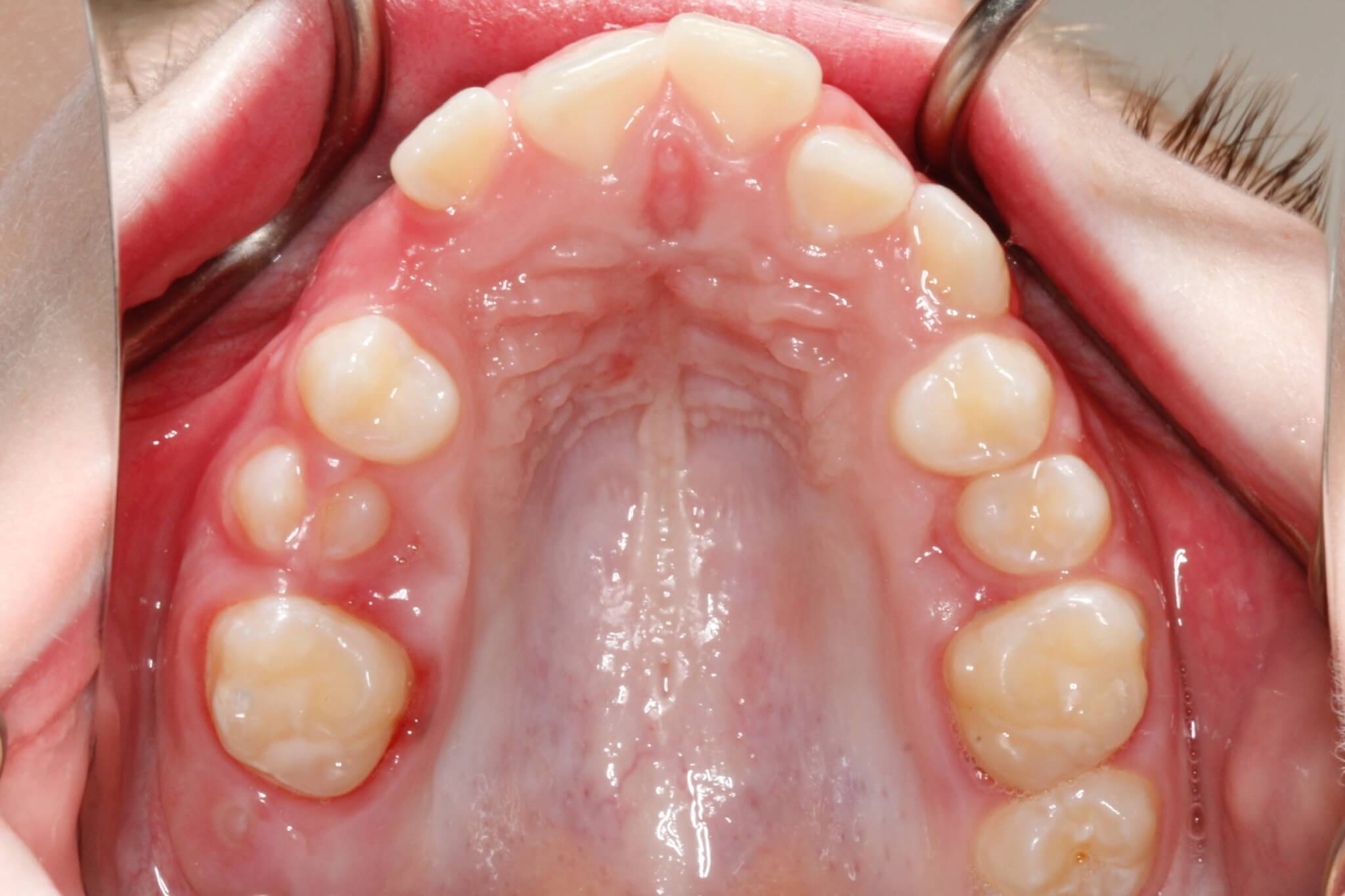
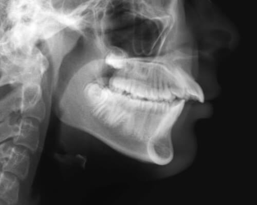
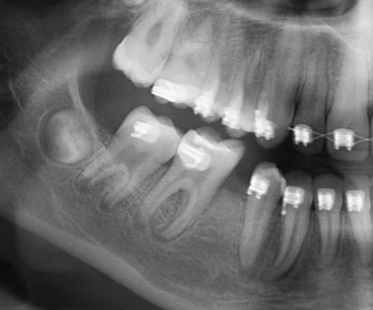
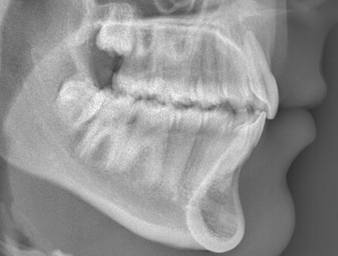
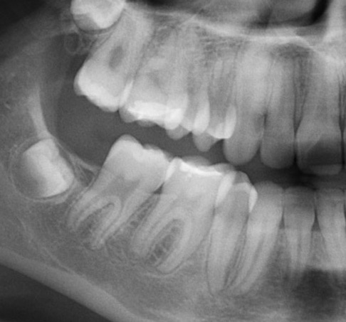
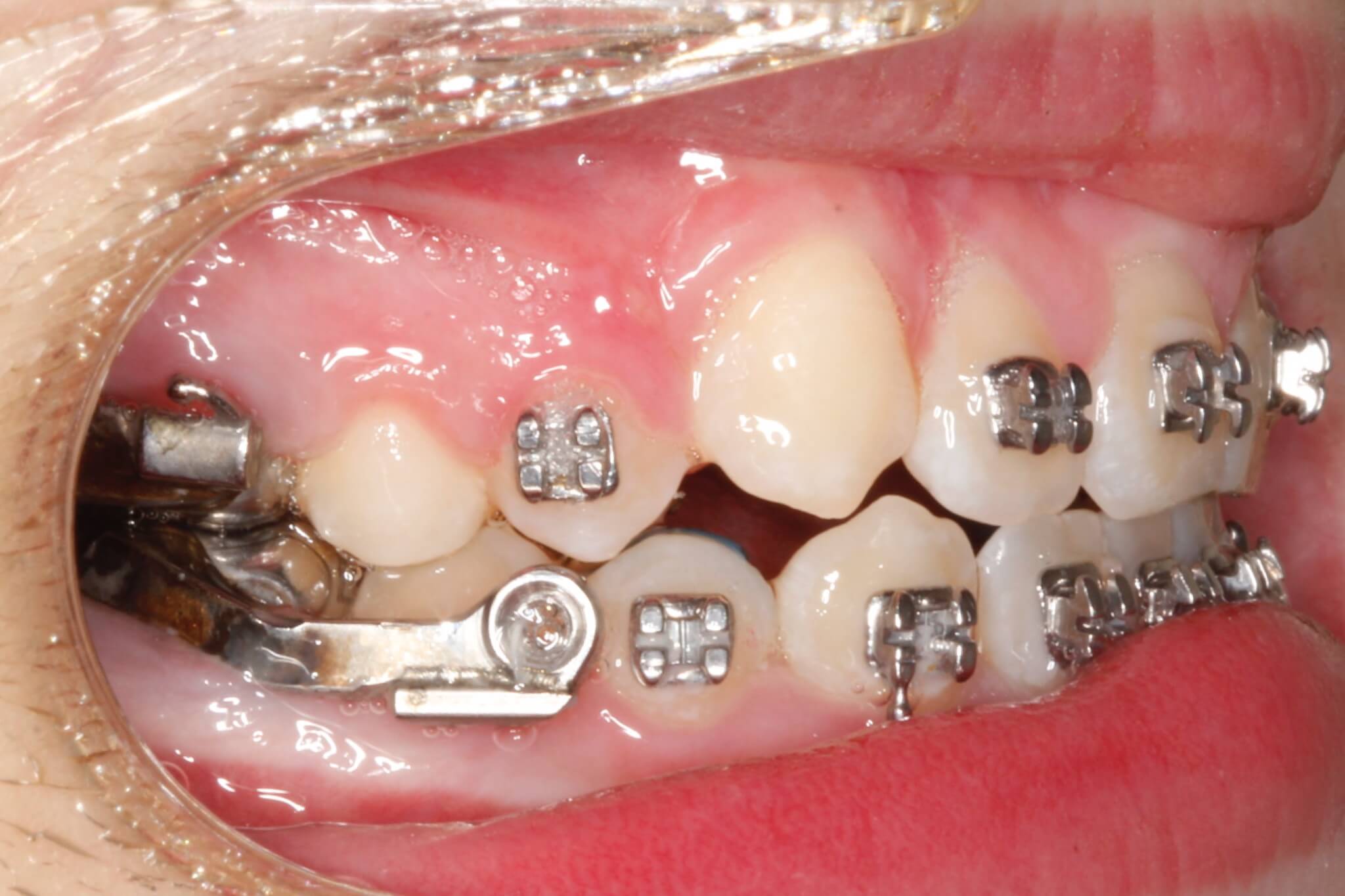
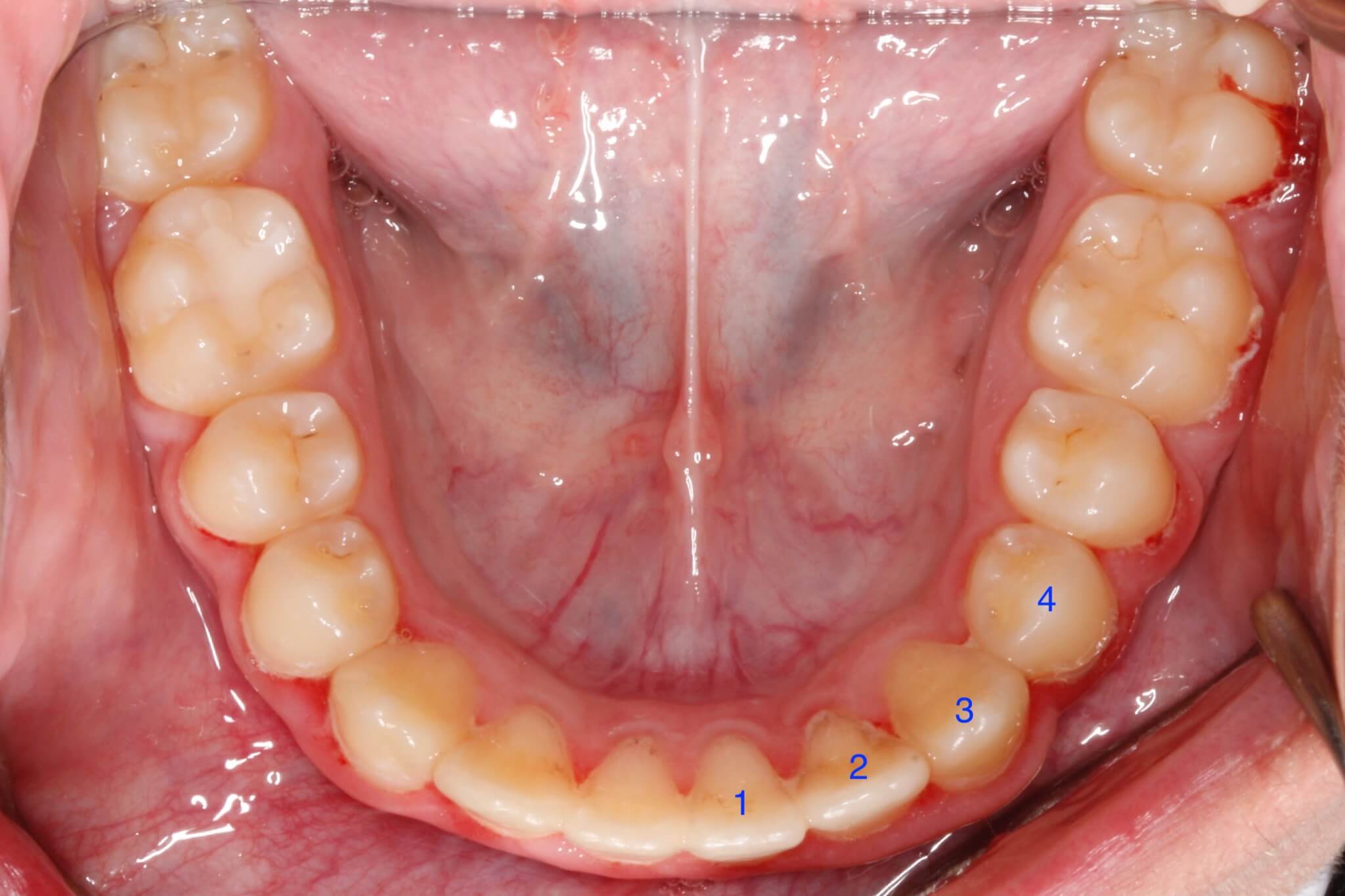
Tooth Impactions
This is special subset of dental crowding where an adult tooth is trapped below the gumline.

Tooth Impactions
The next two slides are a particularly difficult case, with the maxillary canines trapped between the roots of the central and lateral incisors

Tooth Impactions
Impacted teeth aligned without damage to adjacent tooth roots.

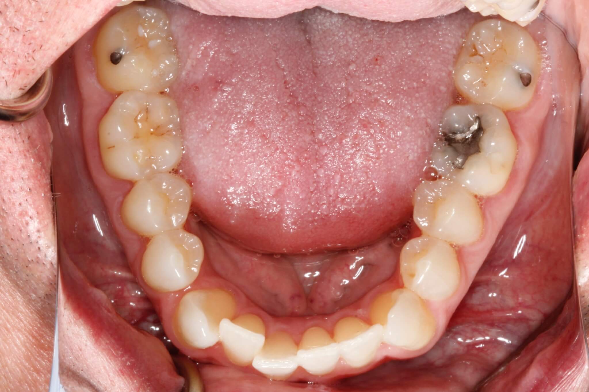
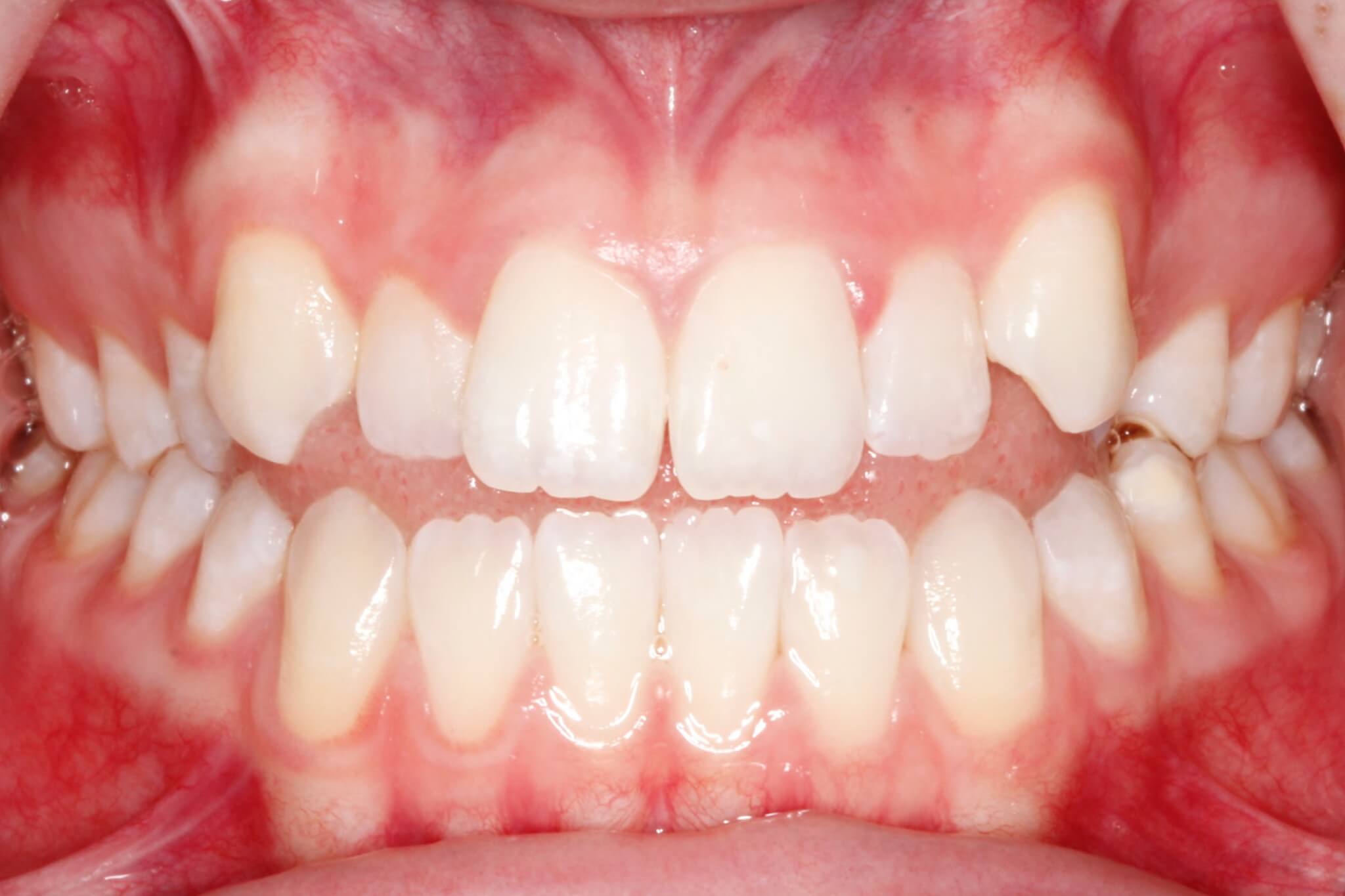
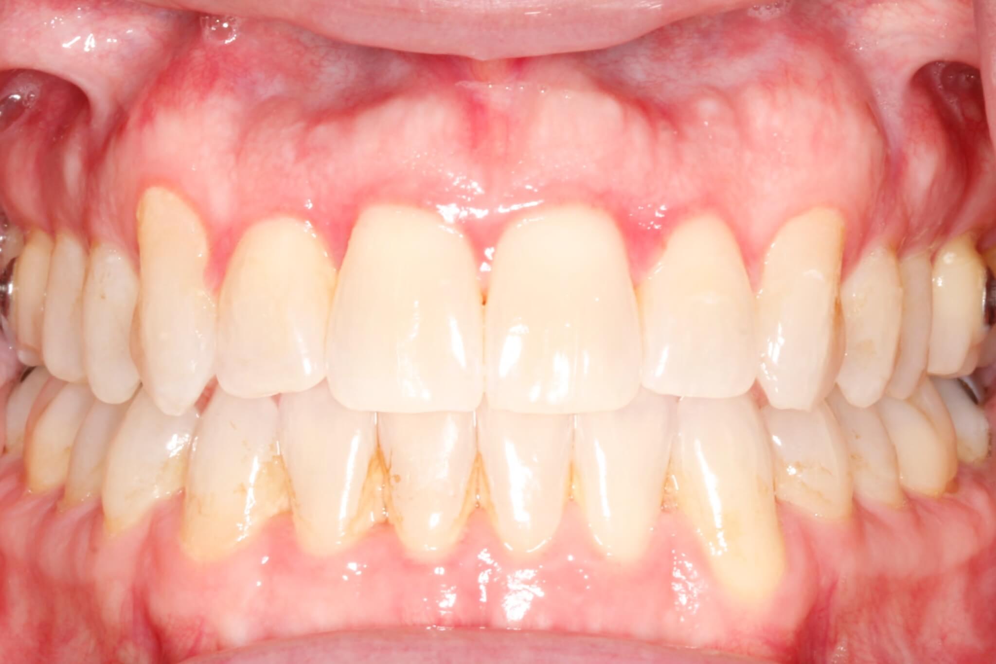
Missing Teeth

Missing Teeth
Real Clients. Real Results

Invisalign
An adult patient with an underbite, he was told he “wasn’t a candidate” for Invisalign. We can treat ANY case with Invisalign or braces. With the current technology and our clinical experience, every case can be an Invisalign case!

Invisalign
An adult patient with an underbite, he was told he “wasn’t a candidate” for Invisalign. We can treat ANY case with Invisalign or braces. With the current technology and our clinical experience, every case can be an Invisalign case!

Invisalign
An adult patient with an underbite, he was told he “wasn’t a candidate” for Invisalign. We can treat ANY case with Invisalign or braces. With the current technology and our clinical experience, every case can be an Invisalign case!

Invisalign
An adult patient with an underbite, he was told he “wasn’t a candidate” for Invisalign. We can treat ANY case with Invisalign or braces. With the current technology and our clinical experience, every case can be an Invisalign case!

Invisalign

Invisalign

Invisalign

Invisalign

Invisalign

Invisalign

Dental Crowding
Treatment time: 13 months, Invisalign, non-extraction

Dental Crowding
Treatment time: 26 months, Braces, non-extraction

Dental Crowding
Non-extraction with fixed retainer

Dental Crowding

Dental Crowding

Deepbites
A similar deepbite case, treated with Invisalign

Excess Overjet

Excess Overjet

Excess Overjet

Excess Overjet

Excess Overjet


Crossbite Correction
Treatment time: 14 months

Maxillary Expansion

Maxillary Expansion

Maxillary Expansion

Smile

Smile

Smile

Smile

Smile

Smile

Smile

Smile

Bite Correction
The patient's upper teeth were shifted a whole tooth forward relative to their lower counterparts. Corrected with braces in 16 months

Bite Correction
Underbite treatment with braces: 4 months into treatment, no facemask or surgery

Bite Correction
Underbite treatment with braces: 25 months treatment time

Profile Improvements
It’s important to not only improve the appearance of the teeth but also to pay attention to the effects the teeth may have on the patient’s lip form. Notice changes in the lip form with correction of this patient’s dental protrusion. Treatment time: 25 months.

Profile Improvements
This case showcases the magic of growing patients and correct application of functional appliances. Herbst appliance in place 1 year after placement. Pre-treatment notice the 1cm space between the upper and lower incisors.

Profile Improvements

Profile Improvements

Profile Improvements

Profile Improvements

Profile Improvements

Profile Improvements

Profile Improvements

Profile Improvements

Profile Improvements

Profile Improvements

Tooth Impactions
This is special subset of dental crowding where an adult tooth is trapped below the gumline.

Tooth Impactions
The next two slides are a particularly difficult case, with the maxillary canines trapped between the roots of the central and lateral incisors

Tooth Impactions
Impacted teeth aligned without damage to adjacent tooth roots.

Missing Teeth

Missing Teeth
Services We Provide
Healthy, beautiful smiles start with customized treatment plans designed for your lifestyle and goals. We provide orthodontic solutions for children, teens, and adults—with a focus on comfort, efficiency, and long-lasting results.
Traditional Braces
Reliable, effective, and ideal for correcting a wide range of orthodontic concerns.
Clear Braces
A discreet alternative that blends with your natural teeth.
Invisalign® for Teens & Adults
Nearly invisible aligners designed for maximum convenience.
Early Orthodontic Care
Guiding proper growth and development to prevent future complications.
Adult Treatment
Modern orthodontics tailored to adults seeking subtle yet impactful improvements.
About Us
At Amesbury Orthodontics, we believe every person deserves a smile that makes them feel confident, joyful, and proud. Our practice was built on a simple foundation: deliver exceptional orthodontic results while treating every patient like family. That’s why our care is personal, precise, and rooted in a deep commitment to your long-term well-being.
In a time when many dental offices are being acquired by corporations, we chose a different path—one that keeps the patient at the center of everything…
Over
Patients Successfully treated
We Are NOT Corporate — And That Matters
Today, many dental and orthodontic practices are being purchased by large corporations. While this may benefit investors, the patient experience often suffers—frequent doctor turnover, inconsistent care, and extended treatment times are common.
At Amesbury Orthodontics, your experience is different.
You will always be treated by the same doctor—Dr. Beaudoin—at every visit. This consistency ensures:
- A stable, predictable treatment plan
- Faster, more accurate progress
- A doctor who truly knows and follows your case from start to finish
Your smile is personal. Your care should be too.
Our Process
1
Call Us to Schedule Your Consultation
Your journey begins with a phone call. Our friendly team will help schedule a consultation to meet with the doctor.
Having your dental insurance card handy will allow us to look-up your dental coverage before you arrive.
2
Text Message Appointment Confirmation
You should receive a text message confirming your appointment time. Save this number as our text messaging system also allows you to send messages at anytime
securely to our team.
If you did not have your insurance card with you when you scheduled
your appointment, you may text us a picture of the front and back of the card to this number and a copy will automatically be saved
to your chart.
3
Visit Our Office & Meet the Team
When you arrive, you’ll be welcomed into a relaxed, family-friendly environment. You’ll meet our team, tour the office, and get comfortable before we begin.
We believe orthodontic care should feel personal—not rushed or intimidating.
4
Digital X-Rays & Facial Imaging
We use advanced digital imaging to take x-rays and photographs of your teeth and face. These tools allow us to see the full picture and plan your treatment with precision and accuracy.
Everything is done efficiently and safely—with your comfort in mind.
5
Interactive Smile Evaluation
After Dr. Beaudoin examines your teeth and dental images, you’ll sit down to discuss your goals and
design a treatment plan tailored specifically to you.
Common questions like differences in treatment outcomes with braces
or Invisalign, estimated treatment time, financial options and insurance will be discussed. No pressure, no guesswork. Just honest guidance.
6
Starting Treatment
Once your plan is finalized, we’ll schedule your treatment start. Whether you’re getting braces or Invisalign, our team ensures everything is placed comfortably and correctly.
We’ll also guide you through care instructions so you feel confident from day one.
7
Progress Visits & Your Final Smile
You’ll visit us periodically for adjustments and progress checks. These appointments keep treatment on track and allow us to make fine-tuned improvements.
And then—the best part.
A confident, healthy, beautiful smile that lasts a lifetime.
Our Clients Say
We’ve had such an amazing experience with Dr. B and his staff while navigating braces and the pre and post work that’s involved. My children have very small mouths and all the teeth, so they’ve experienced all the things when it comes to orthodontics; pallet expanders, retainers, power chains, elastics and more. Dr. B is extremely kind and gives more flexibility to his patients than I’ve seen in other practices. He makes my kids laugh and they never complain about having to go to an appointment. My daughter just got her braces off today and she remarked that she’s going to miss seeing Dr. B and his staff on a regular basis. I highly recommend their office and an extremely happy we use them.
Dr. Beaudoin and the staff at Amesbury Orthodontics were really fantastic! My son had a challenging plan that was really well thought out and coordinated with oral surgery and our dentist. Dr. B’s transparency, planning and communication during early consultations set his practice above others we explored. My son liked Dr. B because “he cared about everything, and got to know me.”
We came to Amesbury Orthodontics 2 years ago, my daughter's teeth were really badly unaligned and after 2 years of hard work, they are now perfect. Many many thanks to Dr Beaudoin and his staff for accomplishing this amazing work.
Dr. Brad is Amazing! We can’t say enough about our experience over the past two years. Dr. Brad goes above and beyond for his patients, he takes the time to explain everything and has always been meticulous. My son’s teeth came out beautiful! We couldn’t be happier! Looking forward to our next son going to Dr. Brad soon! Highly recommend Amesbury Orthodontics and Dr. Brad!
I love Amesbury Orthodontics. Staff were always kind, professional, and good humored. Office is clean, relaxing and welcoming. I felt like my child was very well cared for, all efforts were made to minimize discomfort, and they ended up with a beautiful, straight-toothed smile. would absolutely recommend!
We absolutely love this place! All of the staff are super pleasant, outgoing and kind. Dr. B takes his time and really explains everything about the process from start to finish. I would highly recommend this orthodontist!! This is him and his staff being funny and joking with my son. Photo is obviously staged for laughs
Dr. Brad and staff are very accommodating and welcoming and were much better than my previous orthodontist in newburyport. They were able to fit me in last minute and helped realign my teeth. They were very easy to work with and simplified the process.
I couldn’t have picked a better Orthodontics for my son. My son’s previous orthodontist screwed up his mouth, so a friend told me about Dr.Brad so I switched and I absolutely love it! Now my son has a beautiful smile because of Dr.Brad, and his team:)
If I could give these guys more stars I would! 3 of my daughters have had the pleasure of coming to this office for their orthodontics needs. The people here are amazing and the work is excellent. Not only have they boosted my children’s confidence in their smiles but they have also sparked an interest in Orthodontics in my youngest. She has fallen in love with the energy and positivity of this office and the ability these guys have to enhance self esteem and confidence in their patients. Her plan is to attend Whittier like her sisters and Pursue a career on this path. You guys are amazing!!!! 🦷🥰
If you are looking for an orthodontist, look no further. This is the BEST one to go to! The Doctor is super knowledgeable and great at what he does! The staff is very nice and friendly, they make us feel so welcome! My daughter had very crowded crooked teeth, and she now has the best teeth ever and is very happy with the result. We really enjoyed coming to this orthodontist because of the family atmosphere and postive energy. Hope their business will continue to thrive and welcome new patients! All the best, Sophia and Eriko
Amesbury Orthodontics is the best! Dr. Beaudoin is all-around a great orthodontist who cares about his patients and their outcomes. He is kind and thorough, always explaining the process along the way, making sure we all understood next steps and that my daughter was on board with it all. She was actually sad to have her braces taken off! The staff is wonderful and kind. I highly recommend Amesbury Orthodontics!
I am extremely satisfied with my treatment at Amesbury Orthodontics. Dr. Beaudoin and his staff are spectacular. They go above and beyond to make sure your needs are met. The office is clean. Staff made sure chairs are wiped down after each patient. If I had to do it all over again, I wouldn’t imagine going anywhere else. I highly recommend this office.
Dr. B and his staff are wonderful. After 3 consults and quotes we decided on Amesbury Orthodontics for our sons treatment. And I must add we have a older child that had treatment at another provider years ago and we chose Amesbury. Staff was more than accommodating getting us in with any emergency, office is spotless and professional. So after 24 months and right on time his braces came off today and he has a MILLION dollar smile! We will be using Amesbury Orthodontics again for our youngest child! Thank You Mazzaglia Family
Dr. Beaudoin and his staff were just incredible! Beginning with Samantha at our initial visit... she helped us navigate quirky Insurance issues so that we completely understood what to expect! Then Dr. Beaudoin began treatment. Very thorough in his explanation of our treatment plan, but more importantly, exactly what my son should expect. He stayed true to course, with no surprises or hiccups along the way. Everyone is extremely warm and friendly, and super engaging. We always felt very well cared for and very comfortable. We were very impressed with every aspect of Amesbury Orthodontics, and every single person we encountered there!
Dr. Beaudoin is and his staff are super! The office is clean and the process and options were thoroughly communicated. My daughter’s teeth are straight and beautiful after a surprisingly quick year and a half of wearing braces. I highly recommend Amesbury Orthodontics.
We’d Love to Hear From You
Office Hours
Monday: 9AM - 5PM Tuesday: 9AM - 5PM Wednesday: 9AM - 5PM Thursday: 9AM - 5PM Friday: 9AM - 5PM
Phone
Fax
978-834-6945